Gastroesophageal reflux disease
| Gastroesophageal reflux disease | |
|---|---|
| Other names | British: Gastro-oesophageal reflux disease (GORD);[1] gastric reflux disease, acid reflux disease, reflux, gastroesophageal reflux |
![]() | |
| X-ray showing radiocontrast from the stomach (white material below diaphragm) entering the esophagus (three vertical collections of white material in the mid-line of the chest) due to severe reflux | |
| Pronunciation | |
| Specialty | Gastroenterology |
| Symptoms | Taste of acid, heartburn, bad breath, chest pain, breathing problems[6] |
| Complications | Esophagitis, esophageal strictures, Barrett's esophagus[6] |
| Duration | Long term[6][7] |
| Causes | Inadequate closure of the lower esophageal sphincter[6] |
| Risk factors | Obesity, pregnancy, smoking, hiatal hernia, taking certain medicines[6] |
| Diagnostic method | Gastroscopy, upper GI series, esophageal pH monitoring, esophageal manometry[6] |
| Differential diagnosis | Peptic ulcer disease, esophageal cancer, esophageal spasm, angina[8] |
| Treatment | Lifestyle changes, medications, surgery[6] |
| Medication | Antacids, H2 receptor blockers, proton pump inhibitors, prokinetics[6][9] |
| Frequency | ~15% (North American and European populations)[9] |
| Part of a series on |
| Human body weight |
|---|
Gastroesophageal reflux disease (GERD) or gastro-oesophageal reflux disease (GORD) is a chronic upper gastrointestinal disease in which stomach content persistently and regularly flows up into the esophagus, resulting in symptoms and/or complications.[6][7][10] Symptoms include dental corrosion, dysphagia, heartburn, odynophagia, regurgitation, non-cardiac chest pain, extraesophageal symptoms such as chronic cough, hoarseness, reflux-induced laryngitis, or asthma.[10] In the long term, and when not treated, complications such as esophagitis, esophageal stricture, and Barrett's esophagus may arise.[6]
Risk factors include obesity, pregnancy, smoking, hiatal hernia, and taking certain medications. Medications that may cause or worsen the disease include benzodiazepines, calcium channel blockers, tricyclic antidepressants, NSAIDs, and certain asthma medicines. Acid reflux is due to poor closure of the lower esophageal sphincter, which is at the junction between the stomach and the esophagus. Diagnosis among those who do not improve with simpler measures may involve gastroscopy, upper GI series, esophageal pH monitoring, or esophageal manometry.[6]
Treatment options include lifestyle changes, medications, and sometimes surgery for those who do not improve with the first two measures. Lifestyle changes include not lying down for three hours after eating, lying down on the left side, raising the pillow or bedhead height, losing weight, and stopping smoking.[6][11] Foods that may precipitate GERD symptoms include coffee, alcohol, chocolate, fatty foods, acidic foods, and spicy foods.[12] Medications include antacids, H2 receptor blockers, proton pump inhibitors, and prokinetics.[6][9]
In the Western world, between 10 and 20% of the population is affected by GERD.[9] It is highly prevalent in North America with 18% to 28% of the population suffering from the condition.[13] Occasional gastroesophageal reflux without troublesome symptoms or complications is even more common.[6] The classic symptoms of GERD were first described in 1925, when Friedenwald and Feldman commented on heartburn and its possible relationship to a hiatal hernia.[14] In 1934 gastroenterologist Asher Winkelstein described reflux and attributed the symptoms to stomach acid.[15]
Signs and symptoms
Adults
The most common symptoms of GERD in adults are an acidic taste in the mouth, regurgitation, and heartburn.[16] Less common symptoms include pain with swallowing/sore throat, increased salivation (also known as water brash), nausea,[17] chest pain, coughing, and globus sensation.[18] The acid reflux can induce asthma attack symptoms like shortness of breath, cough, and wheezing in those with underlying asthma.[18]
GERD sometimes causes injury to the esophagus. These injuries may include one or more of the following:
- Reflux esophagitis – inflammation of esophageal epithelium which can cause ulcers near the junction of the stomach and esophagus[19]
- Esophageal strictures – the persistent narrowing of the esophagus caused by reflux-induced inflammation
- Barrett's esophagus – intestinal metaplasia (changes of the epithelial cells from squamous to intestinal columnar epithelium) of the distal esophagus[20]
- Esophageal adenocarcinoma – a form of cancer[17]
GERD sometimes causes injury of the larynx (LPR).[21][22] Other complications can include aspiration pneumonia.[23]
Children and babies
GERD may be difficult to detect in infants and children since they cannot describe what they are feeling and indicators must be observed. Symptoms may vary from typical adult symptoms. GERD in children may cause repeated vomiting, effortless spitting up, coughing, and other respiratory problems, such as wheezing. Inconsolable crying, refusing food, crying for food and then pulling off the bottle or breast only to cry for it again, failure to gain adequate weight, bad breath, and burping are also common. Children may have one symptom or many; no single symptom is universal in all children with GERD.
Of the estimated 4 million babies born in the US each year, up to 35% of them may have difficulties with reflux in the first few months of their lives, known as 'spitting up'.[24] About 90% of infants will outgrow their reflux by their first birthday.[25]
Mouth


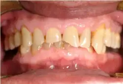
Acid reflux into the mouth can cause breakdown of the enamel, especially on the inside surface of the teeth. A dry mouth, acid or burning sensation in the mouth, bad breath and redness of the palate may occur.[27] Less common symptoms of GERD include difficulty in swallowing, water brash, chronic cough, hoarse voice, nausea and vomiting.[26]
Signs of enamel erosion are the appearance of a smooth, silky-glazed, sometimes dull, enamel surface with the absence of perikymata, together with intact enamel along the gum margin.[28] It will be evident in people with restorations as tooth structure typically dissolves much faster than the restorative material, causing it to seem as if it "stands above" the surrounding tooth structure.[29]
Barrett's esophagus
GERD may lead to Barrett's esophagus, a type of intestinal metaplasia,[20] which is in turn a precursor condition for esophageal cancer. The risk of progression from Barrett's to dysplasia is uncertain, but is estimated at 20% of cases.[30] Due to the risk of chronic heartburn progressing to Barrett's, EGD every five years is recommended for people with chronic heartburn, or who take drugs for chronic GERD.[31]
Causes

A small amount of acid reflux is typical even in healthy people (as with infrequent and minor heartburn), but gastroesophageal reflux becomes gastroesophageal reflux disease when signs and symptoms develop into a recurrent problem. Frequent acid reflux is due to poor closure of the lower esophageal sphincter, which is at the junction between the stomach and the esophagus.[6]
Factors that can contribute to GERD:
- Hiatal hernia, which increases the likelihood of GERD due to mechanical and motility factors.[32][33]
- Obesity: increasing body mass index is associated with more severe GERD.[34] In a large series of 2,000 patients with symptomatic reflux disease, it has been shown that 13% of changes in esophageal acid exposure is attributable to changes in body mass index.[35]
- GERD can be a symptom of mast cell activation syndrome (MCAS).[36][37]
Factors that have been linked with GERD, but not conclusively:
- Obstructive sleep apnea[38][39]
- Gallstones, which can impede the flow of bile into the duodenum, which can affect the ability to neutralize gastric acid[40]
In 1999, a review of existing studies found that, on average, 40% of GERD patients also had H. pylori infection.[41] The eradication of H. pylori can lead to an increase in acid secretion,[42] leading to the question of whether H. pylori-infected GERD patients are any different from non-infected GERD patients. A double-blind study, reported in 2004, found no clinically significant difference between these two types of patients with regard to the subjective or objective measures of disease severity.[43]
The etiology of GERD appears to include the reflux of bile from the stomach into the esophagus leading to the production of reactive oxygen species and oxidative stress and then inflammation and induction of DNA damage.[44] In experimental models of GERD it was found that Lactobacilli facilitate the repair of such DNA damage indicating that administration of these potentially probiotic bacteria may be useful in patients suffering with GERD for preventing progression to Barrett’s esophagus and esophageal adenocarcinoma.[44]
Diagnosis

The diagnosis of GERD is usually made when typical symptoms are present.[45] Reflux can be present in people without symptoms and the diagnosis requires both symptoms or complications and reflux of stomach content.[46]
Other investigations may include esophagogastroduodenoscopy (EGD). Barium swallow X-rays should not be used for diagnosis.[45] Esophageal manometry is not recommended for use in the diagnosis, being recommended only prior to surgery.[45] Ambulatory esophageal pH monitoring may be useful in those who do not improve after PPIs and is not needed in those in whom Barrett's esophagus is seen.[45] Investigation for H. pylori is not usually needed.[45]
The current gold standard for diagnosis of GERD is esophageal pH monitoring. It is the most objective test to diagnose the reflux disease and allows monitoring GERD patients in their response to medical or surgical treatment. One practice for diagnosis of GERD is a short-term treatment with proton-pump inhibitors, with improvement in symptoms suggesting a positive diagnosis. Short-term treatment with proton-pump inhibitors may help predict abnormal 24-hour pH monitoring results among patients with symptoms suggestive of GERD.[47]
Endoscopy
Endoscopy, the examination of the stomach with a fibre-optic scope, is not routinely needed if the case is typical and responds to treatment.[45] It is recommended when people either do not respond well to treatment or have alarm symptoms, including dysphagia, anemia, blood in the stool (detected chemically), wheezing, weight loss, or voice changes.[45] Some physicians advocate either once-in-a-lifetime or 5- to 10-yearly endoscopy for people with longstanding GERD, to evaluate the possible presence of dysplasia or Barrett's esophagus.[48]
Biopsies performed during gastroscopy may show:
- Edema and basal hyperplasia (nonspecific inflammatory changes)
- Lymphocytic inflammation (nonspecific)
- Neutrophilic inflammation (usually due to reflux or Helicobacter gastritis)
- Eosinophilic inflammation (usually due to reflux): The presence of intraepithelial eosinophils may suggest a diagnosis of eosinophilic esophagitis (EE) if eosinophils are present in high enough numbers. Less than 20 eosinophils per high-power microscopic field in the distal esophagus, in the presence of other histologic features of GERD, is more consistent with GERD than EE.[49]
- Goblet cell intestinal metaplasia or Barrett's esophagus
- Elongation of the papillae
- Thinning of the squamous cell layer
- Dysplasia
- Carcinoma
Reflux changes that are not erosive in nature lead to "nonerosive reflux disease".
Severity
Severity may be documented with the Johnson-DeMeester's scoring system:[50]
- 0 – None
- 1 – Minimal – occasional episodes
- 2 – Moderate – medical therapy visits
- 3 – Severe – interference with daily activities
Differential diagnosis
Other causes of chest pain such as heart disease should be ruled out before making the diagnosis.[45] Another kind of acid reflux, which causes respiratory and laryngeal signs and symptoms, is called laryngopharyngeal reflux (LPR) or extraesophageal reflux disease (EERD). Unlike GERD, LPR rarely produces heartburn, and is sometimes called silent reflux.[51] Differential diagnosis of GERD can also include dyspepsia, peptic ulcer disease, esophageal and gastric cancer, and food allergies.[52]
Treatment
The treatments for GERD may include food choices, lifestyle changes, medications, and possibly surgery. Initial treatment is frequently with a proton-pump inhibitor such as omeprazole.[45] In some cases, a person with GERD symptoms can manage them by taking over-the-counter drugs.[53][54][55] This is often safer and less expensive than taking prescription drugs.[53] Some guidelines recommend trying to treat symptoms with an H2 antagonist before using a proton-pump inhibitor because of cost and safety concerns.[53]
Medical nutrition therapy and lifestyle changes
Medical nutrition therapy plays an essential role in managing the symptoms of the disease by preventing reflux, preventing pain and irritation, and decreasing gastric secretions.[10]
Some foods such as chocolate, mint, high-fat food, and alcohol have been shown to relax the lower esophageal sphincter, increasing the risk of reflux.[10] Weight loss is recommended for the overweight or obese, as well as avoidance of bedtime snacks or lying down immediately after meals (meals should occur at least 2–3 hours before bedtime), elevation of the head of the bed on 6-inch blocks, avoidance of smoking, and avoidance of tight clothing that increases pressure in the stomach. It may be beneficial to avoid spices, citrus juices, tomatoes and soft drinks, and to consume small frequent meals and drink liquids between meals.[46][10][56] Some evidence suggests that reduced sugar intake and increased fiber intake can help.[57][46] Although moderate exercise may improve symptoms in people with GERD, vigorous exercise may worsen them.[58] Breathing exercises may relieve GERD symptoms.[59]
Medications
The primary medications used for GERD are proton-pump inhibitors, H2 receptor blockers and antacids with or without alginic acid.[9] The use of acid suppression therapy is a common response to GERD symptoms and many people get more of this kind of treatment than their case merits.[53][60][61][55][54][62] The overuse of acid suppression is a problem because of the side effects and costs.[53][61][55][54][62]
Proton-pump inhibitors
Proton-pump inhibitors (PPIs), such as omeprazole, are the most effective, followed by H2 receptor blockers.[46] If a once-daily PPI is only partially effective they may be used twice a day.[46] They should be taken one half to one hour before a meal.[45] There is no significant difference between PPIs.[45] When these medications are used long-term, the lowest effective dose should be taken.[46] They may also be taken only when symptoms occur in those with frequent problems.[45] H2 receptor blockers lead to roughly a 40% improvement.[63]
Antacids
The evidence for antacids is weaker with a benefit of about 10% (NNT=13) while a combination of an antacid and alginic acid (such as Gaviscon) may improve symptoms by 60% (NNT=4).[63] Metoclopramide (a prokinetic) is not recommended either alone or in combination with other treatments due to concerns around adverse effects.[9][46] The benefit of the prokinetic mosapride is modest.[9]
Other agents
Sucralfate has similar effectiveness to H2 receptor blockers; however, sucralfate needs to be taken multiple times a day, thus limiting its use.[9] Baclofen, an agonist of the GABAB receptor, while effective, has similar issues of needing frequent dosing in addition to greater adverse effects compared to other medications.[9]
Surgery
The standard surgical treatment for severe GERD is the Nissen fundoplication. In this procedure, the upper part of the stomach is wrapped around the lower esophageal sphincter to strengthen the sphincter and prevent acid reflux and to repair a hiatal hernia.[64] It is recommended only for those who do not improve with PPIs.[45] Quality of life is improved in the short term compared to medical therapy, but there is uncertainty in the benefits of surgery versus long-term medical management with proton pump inhibitors.[65] When comparing different fundoplication techniques, partial posterior fundoplication surgery is more effective than partial anterior fundoplication surgery,[66] and partial fundoplication has better outcomes than total fundoplication.[67]
Esophagogastric dissociation is an alternative procedure that is sometimes used to treat neurologically impaired children with GERD.[68][69] Preliminary studies have shown it may have a lower failure rate[70] and a lower incidence of recurrent reflux.[69]
In 2012 the U.S. Food and Drug Administration (FDA) approved a device called the LINX, which consists of a series of metal beads with magnetic cores that are placed surgically around the lower esophageal sphincter, for those with severe symptoms that do not respond to other treatments. Improvement of GERD symptoms is similar to those of the Nissen fundoplication, although there is no data regarding long-term effects. Compared to Nissen fundoplication procedures, the procedure has shown a reduction in complications such as gas bloat syndrome that commonly occur.[71] Adverse responses include difficulty swallowing, chest pain, vomiting, and nausea. Contraindications that would advise against use of the device are patients who are or may be allergic to titanium, stainless steel, nickel, or ferrous iron materials. A warning advises that the device should not be used by patients who could be exposed to, or undergo, magnetic resonance imaging (MRI) because of serious injury to the patient and damage to the device.[72]
Some patients who are at an increased surgical risk or do not tolerate PPIs[73] may qualify for a more recently developed incisionless procedure known as a TIF transoral incisionless fundoplication.[74] Benefits of this procedure may last for up to six years.[75]
Special populations
Pregnancy
GERD is a common condition that develops during pregnancy, but usually resolves after delivery.[76] The severity of symptoms tend to increase throughout the pregnancy.[76] In pregnancy, dietary modifications and lifestyle changes may be attempted, but often have little effect. Some lifestyle changes that can be implemented are elevating the head of the bed, eating small portions of food at regularly scheduled intervals, reduce fluid intake with a meal, avoid eating three hours before bedtime, and refrain from lying down after eating.[76] Calcium-based antacids are recommended if these changes are not effective; aluminum- and magnesium hydroxide-based antacids are also safe.[76] Antacids that contain sodium bicarbonate or magnesium trisilicate should be avoided in pregnancy.[76] Sucralfate has been studied in pregnancy and proven to be safe[76] as is cimetidine[77] and PPIs.[78]
Babies
Babies may see relief with smaller, more frequent feedings, more frequent burping during feedings, holding the baby in an upright position 30 minutes after feeding, keeping the baby's head elevated while laying on the back, removing milk and soy from the mother's diet or feeding the baby milk protein-free formula.[79] They may also be treated with medicines such as PPIs or H2 receptor blockers.[80] PPIs, however, have not been found to be effective in this population and there is a lack of evidence for safety.[81]
The role of an occupational therapist with an infant with GERD includes positioning during and after feeding.[82] One technique used is called the log-roll technique, which is practiced when changing an infant's clothing or diapers.[82] Placing an infant on their back while having their legs lifted is not recommended since it causes the acid to flow back up the esophagus.[82] Instead, the occupational therapist would suggest rolling the child on the side, keeping the shoulders and hips aligned to avoid acid rising up the baby's esophagus.[82] Another technique used is feeding the baby on their side with an upright position instead of lying flat on their back.[82] The final positioning technique used for infants is to keep them on their stomach or upright for 20 minutes after feeding.[82][83]
Epidemiology
In Western populations, GERD affects approximately 10% to 20% of the population and 0.4% newly develop the condition.[9] For instance, an estimated 3.4 million to 6.8 million Canadians have GERD. The prevalence rate of GERD in developed nations is also tightly linked with age, with adults aged 60 to 70 being the most commonly affected.[84] In the United States 20% of people have symptoms in a given week and 7% every day.[9] No data supports sex predominance with regard to GERD.[85]
History
An obsolete treatment is vagotomy ("highly selective vagotomy"), the surgical removal of vagus nerve branches that innervate the stomach lining. This treatment has been largely replaced by medication. Vagotomy by itself tended to worsen contraction of the pyloric sphincter of the stomach, and delayed stomach emptying. Historically, vagotomy was combined with pyloroplasty or gastroenterostomy to counter this problem.[86]
Research
A number of endoscopic devices have been tested to treat chronic heartburn.
- Endocinch puts stitches in the lower esophogeal sphincter (LES) to create small pleats to help strengthen the muscle. However, long-term results were disappointing, and the device is no longer sold by Bard.[87]
- The Stretta procedure uses electrodes to apply radio-frequency energy to the LES. A 2015 systematic review and meta-analysis in response to the systematic review (no meta-analysis) conducted by SAGES did not support the claims that Stretta was an effective treatment for GERD.[88] A 2012 systematic review found that it improves GERD symptoms.[89]
- NDO Surgical Plicator creates a plication, or fold, of tissue near the gastroesophageal junction, and fixates the plication with a suture-based implant. The company ceased operations in mid-2008, and the device is no longer on the market.
- Transoral incisionless fundoplication, which uses a device called Esophyx, may be effective.[90]
See also
- Acid perfusion test
- EndoStim Electrical Stimulation Therapy
- Esophageal motility disorder
- Esophageal motility study
References
- ^ Carroll W (14 October 2016). Gastroenterology & Nutrition: Prepare for the MRCPCH. Key Articles from the Paediatrics & Child Health journal. Elsevier Health Sciences. p. 130. ISBN 978-0-7020-7092-1.
Gastro-oesophageal reflux disease (GORD) is defined as 'gastrooesophageal reflux' associated with complications including oesophagitis...
- ^ "Definition of "gastro-" - Collins American English Dictionary". Archived from the original on 8 December 2015.
- ^ "Definition of "esophagus" - Collins American English Dictionary". Archived from the original on 8 December 2015.
- ^ "reflux noun - Definition, pictures, pronunciation and usage notes - Oxford Advanced American Dictionary at OxfordLearnersDictionaries.com". Archived from the original on 8 December 2015.
- ^ "GORD | Meaning & Definition for UK English". Lexico.com. Archived from the original on 11 February 2022. Retrieved 11 February 2022.
- ^ a b c d e f g h i j k l m n o "Acid Reflux (GER & GERD) in Adults". National Institute of Diabetes and Digestive and Kidney Diseases (NIDDK). 5 November 2015. Archived from the original on 22 February 2020. Retrieved 21 February 2020.
- ^ a b Kahrilas PJ, Shaheen NJ, Vaezi MF (October 2008). "American Gastroenterological Association Institute technical review on the management of gastroesophageal reflux disease". Gastroenterology. 135 (4): 1392–1413, 1413.e1–5. doi:10.1053/j.gastro.2008.08.044. PMID 18801365.
- ^ Kahan S (2008). In a Page: Medicine. Lippincott Williams & Wilkins. p. 124. ISBN 978-0-7817-7035-4. Archived from the original on 8 September 2017.
- ^ a b c d e f g h i j k Hershcovici T, Fass R (April 2011). "Pharmacological management of GERD: where does it stand now?". Trends in Pharmacological Sciences. 32 (4): 258–64. doi:10.1016/j.tips.2011.02.007. PMID 21429600.
- ^ a b c d e Parker M (June 2010). "Book Review: Krause's Food and Nutrition TherapyMahanLKEscott-StumpS. Krause's Food and Nutrition Therapy. 12th ed. Philadelphia: Saunders; (2007). 1376 pp, $149.95. ISBN: 978-1-4160-3401-8". Nutrition in Clinical Practice. 25 (3): 314. doi:10.1177/0884533610362901. ISSN 0884-5336.
- ^ "Best Sleeping Position For Acid Reflux: The Gerd Sleeping Position". SleepScore. 22 April 2019. Archived from the original on 26 April 2021. Retrieved 26 April 2021.
- ^ Kahrilas PJ, Shaheen NJ, Vaezi MF, et al. (October 2008). "American Gastroenterological Association Medical Position Statement on the management of gastroesophageal reflux disease". Gastroenterology. 135 (4): 1383–91, 1391.e1–5. doi:10.1053/j.gastro.2008.08.045. PMID 18789939.
- Lay summary in: "American Gastroenterological Association medical position statement on the management of gastroesophageal reflux disease". National Guideline Clearinghouse. Archived from the original on 17 August 2010.
- ^ El-Serag HB, Sweet S, Winchester CC, Dent J (June 2014). "Update on the epidemiology of gastro-oesophageal reflux disease: a systematic review". Gut. 63 (6): 871–880. doi:10.1136/gutjnl-2012-304269. ISSN 0017-5749. PMC 4046948. PMID 23853213.
- ^ Granderath FA, Kamolz T, Pointner R (2006). Gastroesophageal Reflux Disease: Principles of Disease, Diagnosis, and Treatment. Springer Science & Business Media. p. 161. ISBN 978-3-211-32317-5. Archived from the original on 1 January 2020. Retrieved 28 August 2017.
- ^ Arcangelo VP, Peterson AM (2006). Pharmacotherapeutics for Advanced Practice: A Practical Approach. Lippincott Williams & Wilkins. p. 372. ISBN 978-0-7817-5784-3. Archived from the original on 5 January 2020. Retrieved 28 August 2017.
- ^ Zajac P, Holbrook A, Super ME, et al. (March–April 2013). "An overview: Current clinical guidelines for the evaluation, diagnosis, treatment, and management of dyspepsia". Osteopathic Family Physician. 5 (2): 79–85. doi:10.1016/j.osfp.2012.10.005.
- ^ a b Kahrilas PJ (2008). "Gastroesophageal Reflux Disease". The New England Journal of Medicine. 359 (16): 1700–7. doi:10.1056/NEJMcp0804684. PMC 3058591. PMID 18923172.
- ^ a b Clarrett DM, Hachem C (May 2018). "Gastroesophageal Reflux Disease (GERD)". Missouri Medicine. 115 (3): 214–218. ISSN 0026-6620. PMC 6140167. PMID 30228725.
- ^ "Esophagitis". The Lecturio Medical Concept Library. Archived from the original on 22 July 2021. Retrieved 22 July 2021.
- ^ a b Shaheen NJ, Falk GW, Iyer PG, et al. (January 2016). "ACG Clinical Guideline: Diagnosis and Management of Barrett's Esophagus". Am. J. Gastroenterol. 111 (1): 30–50, quiz 51. doi:10.1038/ajg.2015.322. PMC 10245082. PMID 26526079. S2CID 2274838. Archived from the original on 7 November 2020. Retrieved 7 October 2021.
- ^ Lechien JR, Saussez S, Karkos PD (December 2018). "Laryngopharyngeal reflux disease: clinical presentation, diagnosis and therapeutic challenges in 2018". Curr Opin Otolaryngol Head Neck Surg. 26 (6): 392–402. doi:10.1097/MOO.0000000000000486. PMID 30234664. S2CID 52307468.
- ^ Lechien JR, Bobin F, Muls V, et al. (December 2019). "Gastroesophageal reflux in laryngopharyngeal reflux patients: Clinical features and therapeutic response". Laryngoscope. 130 (8): E479 – E489. doi:10.1002/lary.28482. PMID 31876296. S2CID 209482485.
- ^ Fass R, Achem SR, Harding S, Mittal RK, Quigley E (December 2004). "Review article: supra-oesophageal manifestations of gastro-oesophageal reflux disease and the role of night-time gastro-oesophageal reflux". Alimentary Pharmacology & Therapeutics. 20 (Suppl 9): 26–38. doi:10.1111/j.1365-2036.2004.02253.x. PMID 15527462. S2CID 23673597.
- ^ "Spitting Up in Babies". familydoctor.org. Archived from the original on 8 October 2008.
- ^ Maqbool A, Liacouras CA (2020). "Normal Digestive Tract Phenomena". Nelson Textbook of Pediatrics (21st ed.). Philadelphia, PA: Elsevier. ISBN 978-0-323-52950-1.
- ^ a b c Ranjitkar S, Kaidonis JA, Smales RJ (2012). "Gastroesophageal Reflux Disease and Tooth Erosion". International Journal of Dentistry. 2012: 479850. doi:10.1155/2012/479850. PMC 3238367. PMID 22194748.
- ^ Romano C, Cardile S (11 August 2014). "Gastroesophageal reflux disease and oral manifestations". Italian Journal of Pediatrics. 40 (Suppl 1): A73. doi:10.1186/1824-7288-40-S1-A73. PMC 4132436.
- ^ Lussi A, Jaeggi T (March 2008). "Erosion--diagnosis and risk factors". Clinical Oral Investigations. 12 (Suppl 1): S5–13. doi:10.1007/s00784-007-0179-z. PMC 2238777. PMID 18228059.
- ^ Donovan T (2009). "Dental erosion". Journal of Esthetic and Restorative Dentistry. 21 (6): 359–364. doi:10.1111/j.1708-8240.2009.00291.x. PMID 20002921.
- ^ and Barrett's Esophagus Archived 19 April 2015 at the Wayback Machine. Retrieved on 1 February 2009.
- ^ "Patient information: Barrett's esophagus (Beyond the Basics)". June 2009. Archived from the original on 9 September 2017.
- ^ Sontag SJ (1999). "Defining GERD". Yale J Biol Med. 72 (2–3): 69–80. PMC 2579007. PMID 10780568.
- ^ Piesman M, Hwang I, Maydonovitch C, et al. (October 2007). "Nocturnal reflux episodes following the administration of a standardized meal. Does timing matter?". American Journal of Gastroenterology. 102 (10): 2128–34. doi:10.1111/j.1572-0241.2007.01348.x. PMID 17573791. S2CID 11965042.
- ^ Ayazi S, Crookes PF, Peyre CG, et al. (September 2007). "Objective documentation of the link between gastroesophageal reflux disease and obesity". American Journal of Gastroenterology. 102: S138 – S9. doi:10.14309/00000434-200709002-00059.
- ^ Ayazi S, Hagen JA, Chan LS, et al. (August 2009). "Obesity and gastroesophageal reflux: quantifying the association between body mass index, esophageal acid exposure, and lower esophageal sphincter status in a large series of patients with reflux symptoms". J. Gastrointest. Surg. 13 (8): 1440–7. doi:10.1007/s11605-009-0930-7. PMC 2710497. PMID 19475461.
- ^ Afrin LB, Butterfield JH, Raithel M, Molderings GJ (2016). "Often seen, rarely recognized: mast cell activation disease--a guide to diagnosis and therapeutic options". The American Journal of the Medical Science. 48 (3): 190–201. doi:10.3109/07853890.2016.1161231. PMID 27012973.
- ^ Özdemir Ö, Kasımoğlu G, Bak A, et al. (9 June 2024). "Mast cell activation syndrome: An up-to-date review of literature". World J Clin Pediatr. 13 (2). doi:10.5409/wjcp.v13.i2.92813. PMC 11212760. PMID 38948000.
- ^ Morse CA, Quan SF, Mays MZ, et al. (2004). "Is there a relationship between obstructive sleep apnea and gastroesophageal reflux disease?". Clin. Gastroenterol. Hepatol. 2 (9): 761–8. doi:10.1016/S1542-3565(04)00347-7. PMID 15354276.
- ^ Kasasbeh A, Kasasbeh E, Krishnaswamy G (2007). "Potential mechanisms connecting asthma, esophageal reflux, and obesity/sleep apnea complex—a hypothetical review". Sleep Med Rev. 11 (1): 47–58. doi:10.1016/j.smrv.2006.05.001. PMID 17198758.
- ^ Tanaja J, Lopez RA, Meer JM (2022), "Cholelithiasis", StatPearls, Treasure Island (FL): StatPearls Publishing, PMID 29262107, archived from the original on 5 October 2023, retrieved 30 October 2022
- ^ O'Connor HJ (February 1999). "Helicobacter pylori and gastro-oesophageal reflux disease-clinical implications and management". Aliment Pharmacol Ther. 13 (2): 117–27. doi:10.1046/j.1365-2036.1999.00460.x. PMID 10102940. S2CID 41988457.
- ^ El-Omar EM, Oien K, El-Nujumi A, et al. (1997). "Helicobacter pylori infection and chronic gastric acid hyposecretion". Gastroenterology. 113 (1): 15–24. doi:10.1016/S0016-5085(97)70075-1. PMID 9207257.
- ^ Fallone CA, Barkun AN, Mayrand S, et al. (October 2004). "There is no difference in the disease severity of gastro-oesophageal reflux disease between patients infected and not infected with Helicobacter pylori". Aliment Pharmacol Ther. 20 (7): 761–8. doi:10.1111/j.1365-2036.2004.02171.x. PMID 15379836. S2CID 922610.
- ^ a b Bernard JN, Chinnaiyan V, Almeda J, Catala-Valentin A, Andl CD (June 2023). "Lactobacillus sp. Facilitate the Repair of DNA Damage Caused by Bile-Induced Reactive Oxygen Species in Experimental Models of Gastroesophageal Reflux Disease". Antioxidants (Basel). 12 (7): 1314. doi:10.3390/antiox12071314. PMC 10376144. PMID 37507854.
- ^ a b c d e f g h i j k l m Katz PO, Gerson LB, Vela MF (March 2013). "Guidelines for the diagnosis and management of gastroesophageal reflux disease". American Journal of Gastroenterology. 108 (3): 308–28. doi:10.1038/ajg.2012.444. PMID 23419381.
- ^ a b c d e f g Kahrilas PJ, Shaheen NJ, Vaezi MF, et al. (October 2008). "American Gastroenterological Association Medical Position Statement on the management of gastroesophageal reflux disease". Gastroenterology. 135 (4): 1383–91, 1391.e1–5. doi:10.1053/j.gastro.2008.08.045. PMID 18789939.
- Lay summary in: "American Gastroenterological Association medical position statement on the management of gastroesophageal reflux disease". National Guideline Clearinghouse. Archived from the original on 17 August 2010.
- ^ Numans ME, Lau J, de Wit NJ, Bonis PA (April 2004). "Short-term treatment with proton-pump inhibitors as a test for gastroesophageal reflux disease: a meta-analysis of diagnostic test characteristics". Annals of Internal Medicine. 140 (7): 518–27. doi:10.7326/0003-4819-140-7-200404060-00011. PMID 15068979. S2CID 53088422.
- ^ Patient information: Barrett's esophagus, archived from the original on 9 September 2017
- ^ Mills, S (ed.) 2009.Sternberg's Diagnostic Pathology. 5th Edition. ISBN 978-0-7817-7942-5
- ^ Michael F. Vaezi, MD PhD MSc. "Testing for refractory gastroesophageal reflux disease" (PDF). Archived (PDF) from the original on 20 August 2018. Retrieved 20 August 2018.
- ^ Stuart A. "Laryngopharyngeal Reflux (Silent Reflux): Causes, Treatment, Diet, and More". WebMD. Retrieved 30 October 2022.
- ^ Kellerman R, Kintanar T (December 2017). "Gastroesophageal Reflux Disease". Primary Care. 44 (4): 561–573. doi:10.1016/j.pop.2017.07.001. ISSN 1558-299X. PMID 29132520.
- ^ a b c d e Using the Proton Pump Inhibitors to Treat Heartburn and Stomach Acid Reflux (PDF) (Report). Consumer Reports Best Buy Drugs. 2013. Archived (PDF) from the original on 22 February 2020. Retrieved 21 February 2020.
- Lay summary in: "Choosing a PPI to Treat Heartburn, Acid Reflux & GERD" (PDF). Consumer Reports.
- ^ a b c Forgacs I, Loganayagam A (2008). "Overprescribing proton pump inhibitors". BMJ. 336 (7634): 2–3. doi:10.1136/bmj.39406.449456.BE. PMC 2174763. PMID 18174564.
- ^ a b c Heidelbaugh JJ, Kim AH, Chang R, Walker PC (2012). "Overutilization of proton-pump inhibitors: What the clinician needs to know". Therapeutic Advances in Gastroenterology. 5 (4): 219–232. doi:10.1177/1756283X12437358. PMC 3388523. PMID 22778788.
- ^ Kaltenbach T, Crockett S, Gerson LB (2006). "Are lifestyle measures effective in patients with gastroesophageal reflux disease? An evidence-based approach". Arch. Intern. Med. 166 (9): 965–71. doi:10.1001/archinte.166.9.965. PMID 16682569.
- ^ Newberry C, Lynch K (20 July 2017). "Can We Use Diet to Effectively Treat Esophageal Disease? A Review of the Current Literature". Current Gastroenterology Reports. 19 (8) 38. doi:10.1007/s11894-017-0578-5. PMID 28730507. S2CID 39516312.
- ^ Festi D, Scaioli E, Baldi F, Vestito A, Pasqui F, Di Biase AR, Colecchia A (14 April 2009). "Body weight, lifestyle, dietary habits and gastroesophageal reflux disease". World Journal of Gastroenterology. 15 (14): 1690–701. doi:10.3748/wjg.15.1690. PMC 2668774. PMID 19360912.
- ^ Qiu K, Wang J, Chen B, Wang H, Ma C (March 2020). "The effect of breathing exercises on patients with GERD: a meta-analysis". Annals of Palliative Medicine. 9 (2): 405–413. doi:10.21037/apm.2020.02.35. PMID 32233626.
- ^ Gupta R, Marshall J, Munoz JC, et al. (2013). "Decreased acid suppression therapy overuse after education and medication reconciliation". International Journal of Clinical Practice. 67 (1): 60–65. doi:10.1111/ijcp.12046. PMID 23241049. S2CID 37158104.
- ^ a b Nardino RJ, Vender RJ, Herbert PN (November 2000). "Overuse of acid-suppressive therapy in hospitalized patients". American Journal of Gastroenterology. 95 (11): 3118–22. doi:10.1016/s0002-9270(00)02052-9. PMID 11095327.
- ^ a b McKay AB, Wall D (2008). "Overprescribing PPIs: An old problem". BMJ. 336 (7636): 109.1–109. doi:10.1136/bmj.39458.462338.3A. PMC 2206261. PMID 18202040.
- ^ a b Tran T, Lowry AM, El-Serag HB (2007). "Meta-analysis: the efficacy of over-the-counter gastro-oesophageal reflux disease drugs". Aliment Pharmacol Ther. 25 (2): 143–53. doi:10.1111/j.1365-2036.2006.03135.x. PMID 17229239. S2CID 24358990.
- ^ Abbas AE, Deschamps C, Cassivi SD, et al. (2004). "The role of laparoscopic fundoplication in Barrett's esophagus". Annals of Thoracic Surgery. 77 (2): 393–6. doi:10.1016/S0003-4975(03)01352-3. PMID 14759403.
- ^ Garg SK, Gurusamy KS (November 2015). "Laparoscopic fundoplication surgery versus medical management for gastro-oesophageal reflux disease (GORD) in adults". Cochrane Database of Systematic Reviews. 2015 (11): CD003243. doi:10.1002/14651858.CD003243.pub3. PMC 8278567. PMID 26544951.
- ^ Kurian AA, Bhayani N, Sharata A, et al. (January 2013). "Partial anterior vs partial posterior fundoplication following transabdominal esophagocardiomyotomy for achalasia of the esophagus: meta-regression of objective postoperative gastroesophageal reflux and dysphagia". JAMA Surg. 148 (1): 85–90. doi:10.1001/jamasurgery.2013.409. PMID 23324843. S2CID 9136476.
- ^ Ramos RF, Lustosa SA, Almeida CA, et al. (October–December 2011). "Surgical treatment of gastroesophageal reflux disease: total or partial fundoplication? systematic review and meta-analysis". Arquivos de Gastroenterologia. 48 (4): 252–60. doi:10.1590/s0004-28032011000400007. PMID 22147130.
- ^ Gatti C, di Abriola GF, Villa M, et al. (May 2001). "Esophagogastric dissociation versus fundoplication: Which is best for severely neurologically impaired children?". Journal of Pediatric Surgery. 36 (5): 677–680. doi:10.1053/jpsu.2001.22935. hdl:2108/311079. PMID 11329564.
- ^ a b Morabito A, Lall A, Lo Piccolo R, et al. (May 2006). "Total esophagogastric dissociation: 10 years' review". Journal of Pediatric Surgery. 41 (5): 919–922. doi:10.1016/j.jpedsurg.2006.01.013. PMID 16677883.
- ^ Goyal A, Khalil B, Choo K, et al. (June 2005). "Esophagogastric dissociation in the neurologically impaired: an alternative to fundoplication?". Journal of Pediatric Surgery. 40 (6): 915–919. doi:10.1016/j.jpedsurg.2005.03.004. PMID 15991170.
- ^ Badillo R, Francis D (2014). "Diagnosis and treatment of gastroesophageal reflux disease". World Journal of Gastrointestinal Pharmacology and Therapeutics. 5 (3): 105–12. doi:10.4292/wjgpt.v5.i3.105 (inactive 1 July 2025). PMC 4133436. PMID 25133039.
{{cite journal}}: CS1 maint: DOI inactive as of July 2025 (link) - ^ Medical Device Approvals: LINX Reflux Management System - P100049 Archived 10 November 2013 at the Wayback Machine, U.S. Food and Drug Administration, U.S. Department of Health and Human Services, Update of 17 January 2014
- ^ Testoni, S, Hassan, C, Mazzoleni, G, Antonelli, G, Fanti, L, Passaretti, S, Correale, L, Cavestro, G, Testoni, P (2021). "Long-term outcomes of transoral incisionless fundoplication for gastro-esophageal reflux disease: systematic-review and meta-analysis". Endoscopy International Open. 9(2) (C2): E239 – E246. doi:10.1055/a-1322-2209. PMC 7857958. PMID 33553587.
- ^ Jain D, Singhal S (March 2016). "Transoral Incisionless Fundoplication for Refractory Gastroesophageal Reflux Disease: Where Do We Stand?". Clinical Endoscopy. 49 (2): 147–56. doi:10.5946/ce.2015.044. PMC 4821522. PMID 26878326.
- ^ Hopkins J, Switzer NJ, Karmali S (25 August 2015). "Update on novel endoscopic therapies to treat gastroesophageal reflux disease: A review". World Journal of Gastrointestinal Endoscopy. 7 (11): 1039–44. doi:10.4253/wjge.v7.i11.1039. PMC 4549661. PMID 26322157.
- ^ a b c d e f Body C, Christie JA (June 2016). "Gastrointestinal Diseases in Pregnancy: Nausea, Vomiting, Hyperemesis Gravidarum, Gastroesophageal Reflux Disease, Constipation, and Diarrhea". Gastroenterology Clinics of North America. 45 (2): 267–283. doi:10.1016/j.gtc.2016.02.005. ISSN 1558-1942. PMID 27261898.
- ^ Mahadevan U, Kane S (July 2006). "American gastroenterological association institute medical position statement on the use of gastrointestinal medications in pregnancy". Gastroenterology. 131 (1): 278–82. doi:10.1053/j.gastro.2006.04.048. PMID 16831610.
- ^ Katz PO, Gerson LB, Vela MF (March 2013). "Guidelines for the diagnosis and management of gastroesophageal reflux disease". American Journal of Gastroenterology. 108 (3): 308–28. doi:10.1038/ajg.2012.444. PMID 23419381.
- ^ "Infant acid reflux - Diagnosis and treatment - Mayo Clinic". www.mayoclinic.org. Archived from the original on 14 May 2020. Retrieved 28 September 2018.
- ^ Tighe MP, Afzal NA, Bevan A, Beattie RM (2009). "Current pharmacological management of gastro-esophageal reflux in children: an evidence-based systematic review". Paediatr Drugs. 11 (3): 185–202. doi:10.2165/00148581-200911030-00004. PMID 19445547. S2CID 42736509.
- ^ van der Pol RJ, Smits MJ, van Wijk MP, et al. (May 2011). "Efficacy of proton-pump inhibitors in children with gastroesophageal reflux disease: a systematic review". Pediatrics. 127 (5): 925–35. doi:10.1542/peds.2010-2719. PMID 21464183. S2CID 207164814.
- ^ a b c d e f chantelpowellot (14 July 2014). "Helping Baby with Gastroesophageal Reflux Disorder (GERD)". Occupational Therapy Services in North County San Diego. Archived from the original on 4 May 2021. Retrieved 3 May 2021.
- ^ Elser HE (2012). "Positioning after feedings: what is the evidence to reduce feeding intolerances?". Advances in Neonatal Care. 12 (3): 172–175. doi:10.1097/ANC.0b013e318256b7c1. ISSN 1536-0911. PMID 22668689.
- ^ Fedorak RN, Veldhuyzen van Zanten S, Bridges R (July 2010). "Canadian Digestive Health Foundation Public Impact Series: Gastroesophageal reflux disease in Canada: Incidence, prevalence, and direct and indirect economic impact". Canadian Journal of Gastroenterology. 24 (7): 431–4. doi:10.1155/2010/296584. PMC 2918483. PMID 20652158.
- ^ Kim YS, Kim N, Kim GH (30 October 2016). "Sex and Gender Differences in Gastroesophageal Reflux Disease". Journal of Neurogastroenterology and Motility. 22 (4): 575–588. doi:10.5056/jnm16138. ISSN 2093-0879. PMC 5056567. PMID 27703114.
- ^ HINES JR, GEURKINK RE, KORNMESSER TA, WIKHOLM L, DAVIS RP (1975). "Vagotomy and Double Pyloroplasty for Peptic Ulcer". Annals of Surgery. 181 (1): 40–46. doi:10.1097/00000658-197501000-00010. ISSN 0003-4932. PMC 1343712. PMID 1119866.
- ^ Jafri SM, Arora G, Triadafilopoulos G (July 2009). "What is left of the endoscopic antireflux devices?". Current Opinion in Gastroenterology. 25 (4): 352–7. doi:10.1097/MOG.0b013e32832ad8b4. PMID 19342950. S2CID 5280924.
- ^ Lipka S, Kumar A, Richter JE (June 2015). "No evidence for efficacy of radiofrequency ablation for treatment of gastroesophageal reflux disease: a systematic review and meta-analysis". Clinical Gastroenterology and Hepatology. 13 (6): 1058–67.e1. doi:10.1016/j.cgh.2014.10.013. PMID 25459556.
- ^ Perry KA, Banerjee A, Melvin WS (August 2012). "Radiofrequency energy delivery to the lower esophageal sphincter reduces esophageal acid exposure and improves GERD symptoms: a systematic review and meta-analysis". Surgical Laparoscopy, Endoscopy & Percutaneous Techniques. 22 (4): 283–8. doi:10.1097/sle.0b013e3182582e92. PMID 22874675. S2CID 5813552.
- ^ Testoni PA, Vailati C (August 2012). "Transoral incisionless fundoplication with EsophyX® for treatment of gastro-oesphageal reflux disease". Digestive and Liver Disease. 44 (8): 631–5. doi:10.1016/j.dld.2012.03.019. PMID 22622203.
Further reading
- Lichtenstein DR, Cash BD, Davila R, et al. (August 2007). "Role of endoscopy in the management of GERD" (PDF). Gastrointestinal Endoscopy. 66 (2): 219–24. doi:10.1016/j.gie.2007.05.027. PMID 17643692.
- Lay summary in: "Role of endoscopy in the management of GERD". National Guideline Clearinghouse. Archived from the original on 28 September 2010.
- Hirano I, Richter JE (March 2007). "ACG practice guidelines: esophageal reflux testing". American Journal of Gastroenterology. 102 (3): 668–85. CiteSeerX 10.1.1.619.3818. doi:10.1111/j.1572-0241.2006.00936.x. PMID 17335450. S2CID 10854440.
- Katz PO, Gerson LB, Vela MF (March 2013). "Guidelines for the diagnosis and management of gastroesophageal reflux disease". American Journal of Gastroenterology. 108 (3): 308–28. doi:10.1038/ajg.2012.444. PMID 23419381.
