Iron overload

Iron overload
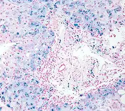
Micrograph of liver biopsy showing iron deposits due to haemosiderosis. Iron stain.
SpecialtyHematology, gastroenterology/hepatology

Iron overload is the abnormal and increased accumulation of total iron in the body, leading to organ damage.[1] The primary mechanism of organ damage is oxidative stress, as elevated intracellular iron levels increase free radical formation via the Fenton reaction. Iron overload is often primary (i.e, hereditary haemochromatosis, aceruloplasminemia) but may also be secondary to other causes (i.e., transfusional iron overload).[2] Iron deposition most commonly occurs in the liver, pancreas, skin, heart, and joints. People with iron overload classically present with the triad of liver cirrhosis, secondary diabetes mellitus, and bronze skin.[3] However, due to earlier detection nowadays, symptoms are often limited to general chronic malaise, arthralgia, and hepatomegaly.[3]

Signs and symptoms

Organs most commonly affected by hemochromatosis include the liver, heart, and endocrine glands.[4]

Hemochromatosis may present with the following clinical syndromes:

  • liver: chronic liver disease and cirrhosis of the liver.[5]
  • heart: heart failure, cardiac arrhythmia.[5]
  • hormones: diabetes (see below) and hypogonadism (insufficiency of the sex hormone producing glands) which leads to low sex drive and/or loss of fertility in men and loss of fertility and menstrual cycle in women.[5]
  • metabolism: diabetes in people with iron overload occurs as a result of selective iron deposition in islet beta cells in the pancreas leading to functional failure and cell death.[6]
  • skeletal: arthritis, from iron deposition in joints leading to joint pains. The most commonly affected joints are those of the hands, particularly the knuckles or metacarpophalangeal joints, wrists or radiocarpal joints, elbow, hip, knee, and ankle joints.[7][8] Risk factors for the development of arthritis in those with hemochromatosis include elevated iron levels (ferritin greater than 1000 or transferrin saturation greater than 50%) for an extended period, increasing age, and concurrent advanced liver fibrosis.[7]
  • skin: melanoderma (darkening or 'bronzing' of the skin).[8][9]

Hemochromatosis leading to secondary diabetes (through iron deposition in the insulin secreting beta cells of the pancreas), when combined with a bronzing or darkening of the skin, is sometimes known as "bronze diabetes".[10]

Causes

The term hemochromatosis was initially used to refer to what is now more specifically called hemochromatosis type 1 (HFE-related hereditary hemochromatosis or classical hereditary hemochromatosis). Currently, hemochromatosis (without further specification) is mostly defined as iron overload with a hereditary or primary cause,[11][12] or originating from a metabolic disorder.[13]

Primary hemochromatosis and hemosiderosis

Hereditary hemochromatosis

Hereditary hemochromatoses (HH or HHC) are genetic disorders. Hereditary hemochromatosis type 1 (HH type 1) is caused by mutations of HFE gene, mainly C282Y/C282Y mutation. This mutation is present in 1:200-300 of the Caucasian population in the United States and Northern Europe with lower incidence in other ethnic groups, but only 10-33% (clinical penetrance) of them will develop iron overload.[14] Mutations of the HFE gene (homeostatic iron regulator) located on chromosome 6 (responsible for iron regulatory protein hepcidin regulation) are responsible for most cases of hereditary hemochromatosis; 80-90% of cases of hereditary hemochromatosis involve a mutation of this HFE gene; 90-95% in Northern Europe.[1][7] Non-HFE hereditary hemochromatosis involves mutations in genes coding for the iron regulatory proteins hemojuvelin, transferrin receptor-2, ferroportin, and HAMP.[7]

Hereditary hemochromatosis is characterized by an accelerated rate of intestinal iron absorption and progressive iron deposition in various tissues. This typically begins to be expressed in the third to fifth decades of life, but may occur in children. The clinical presentation of hepatic cirrhosis, hypogonadism, cardiomyopathy, diabetes, arthritis, or hyperpigmentation is uncommon in current patients. Because of the severe sequelae of this disorder if left untreated, and recognizing that treatment is relatively simple, early diagnosis before symptoms or signs appear is important.[15][16]

Hemosiderosis

In general, the term hemosiderosis is used to indicate the pathological effect of iron accumulation in any given organ, which mainly occurs in the form of the iron-storage complex hemosiderin.[17][18] Sometimes, the simpler term siderosis is used instead.

Other definitions distinguishing hemochromatosis or hemosiderosis that are occasionally used include:

  • Hemosiderosis is hemochromatosis caused by excessive blood transfusions; that is, hemosiderosis is a form of secondary hemochromatosis.[19][20]
  • Hemosiderosis is hemosiderin deposition within cells, while hemochromatosis is hemosiderin within cells and the interstitium.[21]
  • Hemosiderosis is iron overload that does not cause tissue damage,[22] while hemochromatosis does.[23]
  • Hemosiderosis is arbitrarily differentiated from hemochromatosis by the reversible nature of the iron accumulation in the reticuloendothelial system.[24]

The causes of hemochromatosis broken down into two subcategories: primary cases (hereditary or genetically determined) and less frequent secondary cases (acquired during life).[25]

People of Northern European descent, including Celtic (Irish, Scottish, Welsh, Cornish, Breton etc.), English, and Scandinavian origin[26] have a particularly high incidence of hemochromatosis type 1, with about 1:8 people being carriers of the principal genetic variant, the C282Y mutation on the HFE gene, and 0.5% of the population having the condition.[27]

Non-classical hereditary hemochromatosis

The overwhelming majority of hereditary hemochromatoses are caused by mutations of the HFE gene discovered in 1996, but since then others have been discovered and sometimes are grouped together as "non-classical hereditary hemochromatosis",[28] "non-HFE related hereditary hemochromatosis",[29] or "non-HFE hemochromatosis".[30] They are hemochromatosis type 2 (2A and 2B), type 3, type 4, type 5[31]

Other causes of primary iron overload (non-hemochromatosis)

Description OMIM Mutation
Hemochromatosis type 1: "classical" hemochromatosis 235200 HFE
Hemochromatosis type 2A: juvenile hemochromatosis 602390 Haemojuvelin (HJV, also known as RGMc and HFE2)
Hemochromatosis type 2B: juvenile hemochromatosis 606464 hepcidin antimicrobial peptide (HAMP) or HFE2B
Hemochromatosis type 3 604250 transferrin receptor-2 (TFR2 or HFE3)
Hemochromatosis type 4 604653 ferroportin (SLC11A3/SLC40A1)
Neonatal hemochromatosis 231100 (unknown)
Acaeruloplasminaemia (very rare) 604290 caeruloplasmin
Congenital atransferrinaemia (very rare) 209300 transferrin
GRACILE syndrome (very rare) 603358 BCS1L

Most types of hereditary hemochromatosis have autosomal recessive inheritance, while type 4 has autosomal dominant inheritance.[32]

Secondary hemochromatosis

Other causes of iron overload

  • GALD-NH (Gestacional alloimmune liver disease)
  • Dysmetabolic Iron Overload Syndrome (DIOS)

It is a condition characterized by a mild to moderate accumulation of iron in the liver associated with metabolic disorders, particularly Metabolic dysfunction-associated steatotic liver disease (MASLD) and metabolic syndrome. Transferrin saturation is generally 20-45%; if this is above 60%, it is highly unlikely to be due to DIOS. It is not hemochromatosis.

Pathophysiology

Defects in iron metabolism, specifically involving the iron regulatory protein hepcidin are thought to play an integral role in the pathogenesis of hereditary hemochromatosis.[7]

Normally, hepcidin acts to reduce iron levels in the body by inhibiting intestinal iron absorption and inhibiting iron mobilization from stores in the bone marrow and liver.[7] Iron is absorbed from the intestines (mostly in the duodenum) and transported across intestinal enterocytes or mobilized out of storage in liver hepatocytes or from macrophages in the bone marrow by the transmembrane ferroportin transporter.[7] In response to elevated plasma iron levels, hepcidin inhibits the ferroportin transporter, leading to decreased iron mobilization from stores and decreased intestinal iron absorption, thus functioning as a negative iron regulatory protein.[7]

In hereditary hemochromatosis, mutations in the proteins involved in hepcidin production including HFE (homeostatic iron regulator), hemojuvelin and transferrin receptor 2 lead to a loss or decrease in hepcidin production, which subsequently leads to the loss of the inhibitory signal regulating iron absorption and mobilization and thus leads to iron overload.[7] In very rare instances, mutations in ferroportin result in ferroportin resistance to hepcidin's negative regulatory effects, and continued intestinal iron absorption and mobilization despite inhibitory signaling from hepcidin.[7]

The resulting iron overload causes iron to deposit in various sites throughout the body, especially the liver and joints, which, coupled with oxidative stress, leads to organ damage or joint damage and the pathological findings seen in hemochromatosis.[7]

Diagnosis

Selective iron deposition (blue) in pancreatic islet beta cells (red)

There are several methods available for diagnosing and monitoring iron overload. Current guidelines recommend quantitative liver MRI combined with HFE genotyping as a diagnostic approach; liver biopsy and calculation of the hepatic iron index are reserved for equivocal cases or for staging hepatic fibrosis.

Blood test

Blood tests are usually the initial test if there is a clinical suspicion of iron overload. Serum ferritin testing is a low-cost, readily available, and minimally invasive method for assessing body iron stores. However, ferritin levels may be elevated due to a variety of other causes, including obesity, infection, inflammation (as an acute phase protein), chronic alcohol intake, liver disease, kidney disease, and cancer.[7][33][34] In males and postmenopausal females, normal range of serum ferritin is between 12 and 300 ng/mL (670 pmol/L) .[35][36][37] In premenopausal females, normal range of serum ferritin is between 12 and 150[35] or 200[36] ng/mL (330 or 440 pmol/L).[37] In those with hemochromatosis, the serum ferritin level correlates with the degree of iron overload.[7] Ferritin levels are usually monitored serially in those with hemochromatosis to assess response to treatment.[7]

Elevations in serum levels of the iron transporter protein transferrin saturation as well as increased red blood cell mean corpuscular volume and mean corpuscular hemoglobin concentration usually precede ferritin elevations in hemochromatosis.[7] Transferrin saturation of greater than 45% combined with an elevated ferritin level is highly sensitive in diagnosing HFE hemochromatosis.[7] Total iron binding capacity may be low in hemochromatosis, but can also be normal.[38] There are cases of iron overload with normal transferrin saturation.

Genetics

General screening for hemochromatosis is not recommended, however first-degree relatives of those affected should be screened.[7][39][40][41]

Once iron overload has been established, HFE gene mutation genetic testing for hereditary causes of iron overload is indicated.[40][15] The presence of HFE gene mutations in addition to iron overload confirms the clinical diagnosis of hereditary hemochromatosis type 1.[40] The alleles evaluated by HFE gene analysis are mutated (C282Y/C282Y; C282Y/H63D; C282Y/S65C; H63D/H63D) in 80-90% of patients with hereditary hemochromatosis; a negative report for these mutations of HFE gene does not rule out hemochromatosis.

Biopsy

Histopathology of the liver, showing Kupffer cells with significant hemosiderin deposition (shown next to a hepatocyte with lipofuscin pigment, which is a common normal finding). H&E stain.
Prussian blue iron staining, highlighting the hemosiderin pigment as blue. This finding indicates mesenchymal iron overload (within Kupffer cells and/or portal macrophages) rather than parenchymal iron overload (within hepatocytes).[42]

The gold standard for confirming iron overload is the liver biopsy. Liver biopsy is the removal of a small sample in order to be studied and can determine the cause of inflammation or cirrhosis. In someone with negative HFE gene testing, elevated iron status for no other obvious reason, and a family history of liver disease, additional evaluation of liver iron concentration is indicated. In this case, diagnosis of hemochromatosis is based on biochemical analysis and histologic examination of a liver biopsy.

Imaging

Magnetic resonance imaging (MRI) is used as a noninvasive method to estimate iron deposition levels in the liver and heart, which may aid in determining a response to treatment or prognosis.[7] A T2*-weighted gradient-echo MRI sequence (often called T2* relaxometry) is used for the quantification of liver iron, but it does not detect some cases of mild iron overload. Liver elastography has limited utility in detecting mild liver fibrosis.[7]

Treatment

Phlebotomy

Phlebotomy, bloodletting or venesection is the mainstay of treatment in iron overload, consisting of regularly scheduled blood draws to remove red blood cells (and iron) from the body.[7] Upon initial diagnosis of iron overload, the phlebotomies may be performed weekly or twice weekly, until iron levels are normalized. Once the serum ferritin and transferrin saturation are within the normal range, maintenance phlebotomies may be needed in some (depending upon the rate of reabsorption of iron), scheduled at varying frequencies to keep iron stores within the normal range.[40] A phlebotomy session typically draws between 450 and 500 mL of blood.[43] Routine phlebotomy may reverse liver fibrosis and alleviate some symptoms of hemochromatosis, but chronic arthritis is usually not responsive to treatment.[7] In those with hemochromatosis; the blood drawn during phlebotomy is safe to be donated.[44][40]

Phlebotomy is associated with improved survival if it is initiated before the onset of cirrhosis or diabetes.[40]

Diet

The human diet contains iron in two forms: heme iron and non-heme iron. Heme iron is usually found in red meat, whereas non-heme iron is found in plant-based sources. Heme iron is the most easily absorbed form of iron. In those with hemochromatosis undergoing phlebotomy for treatment, restriction of dietary iron is not required.[40][41][7] However, those who do restrict dietary iron usually require less phlebotomy (about 0.5–1.5 liters of blood less per year).[45] Vitamin C and iron supplementation should be avoided as vitamin C accelerates intestinal absorption of iron and mobilization of body iron stores.[40][41] Raw seafood should be avoided because of increased risk of infections from iron-loving pathogens (called siderophilic) such as Vibrio vulnificus.[7][46] Alcohol consumption should be avoided due to the risk of compounded liver damage with iron overload.[7]

Medication

Medications are used for those unable to tolerate routine blood draws, there are chelating agents available for use.[47] The drug deferoxamine binds with iron in the bloodstream and enhances its elimination in urine and faeces. Typical treatment for chronic iron overload requires subcutaneous injection over a period of 8–12 hours daily. Two newer iron-chelating drugs that are licensed for use in patients receiving regular blood transfusions to treat thalassaemia (and, thus, who develop iron overload as a result) are deferasirox and deferiprone.[48][49]

Chelating polymers

A minimally invasive approach to hereditary hemochromatosis treatment is the maintenance therapy with polymeric chelators.[50][51][52] These polymers or particles have a negligible or null systemic biological availability and they are designed to form stable complexes with Fe2+ and Fe3+ in the GIT and thus limiting their uptake and long-term accumulation. Although this method has only a limited efficacy, unlike small-molecular chelators, the approach has virtually no side effects in sub-chronic studies.[52] Interestingly, the simultaneous chelation of Fe2+ and Fe3+ increases the treatment efficacy.[52]

Prognosis

In general, provided there has been no liver damage, patients should expect a normal life expectancy if adequately treated by venesection. If the serum ferritin is greater than 1,000 μg/L at diagnosis, there is a risk of liver damage and cirrhosis, which may eventually shorten their life.[53] The presence of cirrhosis increases the risk of hepatocellular carcinoma.[54] Other risk factors for liver damage in hemochromatosis include alcohol use, diabetes, liver iron levels greater than 2,000 μmol/gram, and increased aspartate transaminase levels.[7]

The risk of death and liver fibrosis is elevated in males with HFE type hemochromatosis but not in females; this is thought to be due to a protective effect of menstruation and pregnancy seen in females, as well as possible hormone-related differences in iron absorption.[7]

Epidemiology

HH type 1 is most common in certain European populations (such as those of Irish or Scandinavian descent) and occurs in 0.6% of that population.[39] Men have a 24-fold increased rate of iron-overload disease compared with women.[39]

Stone Age

Diet and the environment are thought to have had a large influence on the mutation of genes related to iron overload. Starting during the Mesolithic era, communities of people lived in an environment that was fairly sunny, warm, and had the dry climates of the Middle East. Most humans who lived at that time were foragers, and their diets consisted largely of wild plants, fish, and game. Archaeologists studying dental plaque have found evidence of tubers, nuts, plantains, grasses, and other foods rich in iron. Over many generations, the human body became well-adapted to a high level of iron content in the diet.[55]

Neolithic

In the Neolithic era, significant changes are thought to have occurred in both the environment and diet. Some communities of foragers migrated north, leading to changes in lifestyle and environment, with a decrease in temperatures and a change in the landscape that the foragers then needed to adapt to. As people began to develop and advance their tools, they learned new ways of producing food, and farming also slowly developed. These changes would have led to serious stress on the body and a decrease in the consumption of iron-rich foods. This transition is a key factor in the mutation of genes, especially those that regulate dietary iron absorption. 70% of the body’s iron is found in the red blood cells, and it is a critical micronutrient for effective thermoregulation in the body.[56] Iron deficiency will lead to a drop in the core temperature. In the chilly and damp environments of Northern Europe, supplementary iron from food was necessary to keep temperatures regulated; however, without sufficient iron intake, the human body would have started to store iron at higher rates than normal. In theory, the pressures caused by migrating north would have selected for a gene mutation that promoted greater absorption and storage of iron.[57]

Viking hypothesis

Studies and surveys conducted to determine the frequencies of hemochromatosis help explain how the mutation migrated around the globe. In theory, the disease initially evolved from travelers migrating from the north. Surveys show a particular distribution pattern with large clusters and frequencies of gene mutations along the western European coastline.[58] This led the development of the "Viking Hypothesis".[59] Cluster locations and mapped patterns of this mutation correlate closely to the locations of Viking settlements in Europe established c.700 AD to c.1100 AD. The Vikings originally came from Norway, Sweden, and Denmark. Viking ships made their way along the coastline of Europe in search of trade, riches, and land. Genetic studies suggest that the extremely high frequency patterns in some European countries are the result of migrations of Vikings and later Normans, indicating a genetic link between hereditary hemochromatosis and Viking ancestry.[60]

Modern times

In 1865, Armand Trousseau (a French internist) was one of the first to describe many of the symptoms of a diabetic patient with cirrhosis of the liver and bronzed skin color. The term hemochromatosis was first used by German pathologist Friedrich Daniel von Recklinghausen in 1889 when he described an accumulation of iron in body tissues.[61]

Identification of genetic factors

Although it was known most of the 20th century that most cases of hemochromatosis were inherited, they were incorrectly assumed to depend on a single gene.[62]

In 1935, J.H. Sheldon, a British physician, described the link to iron metabolism for the first time, as well as demonstrating its hereditary nature.[61]

In 1996, Feder and colleagues identified the hemochromatosis gene, HFE gene. Felder found that the HFE gene has two main mutations, causing amino acid substitutions C282Y and H63D, which were the main cause of hereditary hemochromatosis.[61][63] The next year the CDC and the National Human Genome Research Institute sponsored an examination of hemochromatosis following the discovery of the HFE gene, which helped lead to the population screenings and estimates that are still being used today.[64]

See also

References

  1. ^ a b Hsu CC, Senussi NH, Fertrin KY, Kowdley KV (June 2022). "Iron overload disorders". Hepatol Commun. 6 (8): 1842–54. doi:10.1002/hep4.2012. PMC 9315134. PMID 35699322.
  2. ^ Hider RC, Kong X (2013). "Iron: Effect of Overload and Deficiency". In Astrid Sigel, Helmut Sigel and Roland K. O. Sigel (ed.). Interrelations between Essential Metal Ions and Human Diseases. Metal Ions in Life Sciences. Vol. 13. Springer. pp. 229–94. doi:10.1007/978-94-007-7500-8_8. ISBN 978-94-007-7499-5. PMID 24470094.
  3. ^ a b Daniłowicz-Szymanowicz L, Świątczak M, Sikorska K, Starzyński RR, Raczak A, Lipiński P (2021-07-16). "Pathogenesis, Diagnosis, and Clinical Implications of Hereditary Hemochromatosis-The Cardiological Point of View". Diagnostics (Basel, Switzerland). 11 (7): 1279. doi:10.3390/diagnostics11071279. ISSN 2075-4418. PMC 8304945. PMID 34359361.
  4. ^ Andrews NC (1999). "Disorders of Iron Metabolism". New England Journal of Medicine. 341 (26): 1986–95. doi:10.1056/NEJM199912233412607. PMID 10607817.
  5. ^ a b c John Murtagh (2007). General Practice. McGraw Hill Australia. ISBN 978-0-07-470436-3.
  6. ^ a b Lu JP (1994). "Selective iron deposition in pancreatic islet B cells of transfusional iron-overloaded autopsy cases". Pathol Int. 44 (3): 194–99. doi:10.1111/j.1440-1827.1994.tb02592.x. PMID 802561. S2CID 25357672.
  7. ^ a b c d e f g h i j k l m n o p q r s t u v w x y z Olynyk JK, Ramm GA (8 December 2022). "Hemochromatosis". New England Journal of Medicine. 387 (23): 2159–70. doi:10.1056/NEJMra2119758. PMID 36477033. S2CID 254432917.
  8. ^ a b Bruce R Bacon, Stanley L Schrier. "Patient information: Hemochromatosis (hereditary iron overload) (Beyond the Basics)". UpToDate. Retrieved 2016-07-14. Literature review current through: Jun 2016. | This topic last updated: Apr 14, 2015.
  9. ^ Brissot P, Pietrangelo A, Adams PC, de Graaff B, McLaren CE, Loréal O (5 April 2018). "Haemochromatosis". Nature Reviews. Disease Primers. 4 18016. doi:10.1038/nrdp.2018.16. PMC 7775623. PMID 29620054.
  10. ^ "Haemochromatosis and diabetes". Diabetes UK.
  11. ^ thefreedictionary.com > hemochromatosis, citing:
    • The American Heritage Medical Dictionary, 2004 by Houghton Mifflin Company
    • McGraw-Hill Concise Dictionary of Modern Medicine. 2002
  12. ^ Merriam-Webster's Medical Dictionary > hemochromatosis Retrieved on December 11, 2009
  13. ^ thefreedictionary.com, citing:
    • Dorland's Medical Dictionary for Health Consumers, 2007
    • Mosby's Medical Dictionary, 8th edition. 2009
    • Jonas: Mosby's Dictionary of Complementary and Alternative Medicine. 2005.
  14. ^ "Hemochromatosis". Archived from the original on 2007-03-18. Retrieved 2012-10-05.
  15. ^ a b Pietrangelo A (2010). "Hereditary Hemochromatosis: Pathogenesis, Diagnosis, and Treatment". Gastroenterology. 139 (2): 393–408. doi:10.1053/j.gastro.2010.06.013. hdl:11380/643921. PMID 20542038.
  16. ^ Brandhagen DJ, Fairbanks VF, Batts KP, Thibodeau SN (1999). "Update on hereditary hemochromatosis and the HFE gene". Mayo Clinic Proceedings. 74 (9): 917–21. doi:10.4065/74.9.917. PMID 10488796.
  17. ^ Merriam-Webster's Medical Dictionary > hemosideroses Retrieved on December 11, 2009
  18. ^ thefreedictionary.com > hemosiderosis, citing:
    • The American Heritage Medical Dictionary, 2004 by Houghton Mifflin Company
    • Mosby's Medical Dictionary, 8th edition.
  19. ^ eMedicine Specialties > Radiology > Gastrointestinal > Hemochromatosis Author: Sandor Joffe, MD. Updated: May 8, 2009
  20. ^ thefreedictionary.com > hemosiderosis, citing:
    • Gale Encyclopedia of Medicine. Copyright 2008
  21. ^ Notecards on radiology gamuts, diseases, anatomy Archived 2010-07-21 at the Wayback Machine 2002, Charles E. Kahn, Jr., MD. Medical College of Wisconsin
  22. ^ thefreedictionary.com > hemosiderosis, citing:
    • Dorland's Medical Dictionary for Health Consumers, 2007
    • Mosby's Dental Dictionary, 2nd ed.
    • Saunders Comprehensive Veterinary Dictionary, 3rd ed. 2007
  23. ^ The HealthScout Network > Health Encyclopedia > Diseases and Conditions > Hemochromatosis Archived 2010-02-09 at the Wayback Machine Retrieved on December 11, 2009
  24. ^ thefreedictionary.com > hemosiderosis, citing:
    • McGraw-Hill Concise Dictionary of Modern Medicine. 2002
  25. ^ Pietrangelo A (2003). "Haemochromatosis". Gut. 52 (90002): ii23–30. doi:10.1136/gut.52.suppl_2.ii23. PMC 1867747. PMID 12651879.
  26. ^ The Atlantic: "The Iron in Our Blood That Keeps and Kills Us" by Bradley Wertheim January 10, 2013
  27. ^ "Hemachromatosis". Encyclopædia Britannica.com. Retrieved 17 April 2017.
  28. ^ Mendes AI, Ferro A, Martins R, Picanço I, Gomes S, Cerqueira R, Correia M, Nunes AR, Esteves J, Fleming R, Faustino P (2008). "Non-classical hereditary hemochromatosis in Portugal: novel mutations identified in iron metabolism-related genes" (PDF). Annals of Hematology. 88 (3): 229–34. doi:10.1007/s00277-008-0572-y. PMID 18762941. S2CID 23206256.
  29. ^ Maddrey, Willis C., Schiff, Eugene R., Sorrell, Michael F. (2007). Schiff's diseases of the liver. Hagerstwon, MD: Lippincott Williams & Wilkins. p. 1048. ISBN 978-0-7817-6040-9.
  30. ^ Pietrangelo A (2005). "Non-HFE Hemochromatosis". Seminars in Liver Disease. 25 (4): 450–60. doi:10.1055/s-2005-923316. hdl:11380/307365. PMID 16315138. S2CID 260320984.
  31. ^ nih.gov
  32. ^ Franchini M (2006). "Hereditary iron overload: Update on pathophysiology, diagnosis, and treatment". American Journal of Hematology. 81 (3): 202–09. doi:10.1002/ajh.20493. PMID 16493621.
  33. ^ Waalen J, Felitti VJ, Gelbart T, Beutler E (1 April 2008). "Screening for hemochromatosis by measuring ferritin levels: a more effective approach". Blood. 111 (7): 3373–76. doi:10.1182/blood-2007-07-102673. PMC 2275006. PMID 18025154.
  34. ^ Koperdanova M, Cullis JO (3 August 2015). "Interpreting raised serum ferritin levels". BMJ. 351: h3692. doi:10.1136/bmj.h3692. PMID 26239322. S2CID 44923011.
  35. ^ a b Ferritin by: Mark Levin, MD, Hematologist and Oncologist, Newark, NJ. Review provided by VeriMed Healthcare Network
  36. ^ a b Andrea Duchini. "Hemochromatosis Workup". Medscape. Retrieved 2016-07-14. Updated: Jan 02, 2016
  37. ^ a b Molar concentration is derived from mass value using molar mass of 450,000 g•mol−1 for ferritin
  38. ^ labtestsonline.org TIBC & UIBC, Transferrin Last reviewed on October 28, 2009.
  39. ^ a b c Crownover BK, Covey, CJ (Feb 1, 2013). "Hereditary hemochromatosis". American Family Physician. 87 (3): 183–90. PMID 23418762.
  40. ^ a b c d e f g h Bacon BR, Adams PC, Kowdley KV, Powell LW, Tavill AS (July 2011). "Diagnosis and management of hemochromatosis: 2011 Practice Guideline by the American Association for the Study of Liver Diseases". Hepatology. 54 (1): 328–43. doi:10.1002/hep.24330. PMC 3149125. PMID 21452290. S2CID 9311604.
  41. ^ a b c Kowdley KV, Brown KE, Ahn J, Sundaram V (August 2019). "ACG Clinical Guideline: Hereditary Hemochromatosis". American Journal of Gastroenterology. 114 (8): 1202–18. doi:10.14309/ajg.0000000000000315. PMID 31335359. S2CID 198192589.
  42. ^ Image by Mikael Häggström, MD. Source for mesenchymal versus parenchymal iron overload Deugnier Y, Turlin B (2007). "Pathology of hepatic iron overload". World J Gastroenterol. 13 (35): 4755–60. doi:10.3748/wjg.v13.i35.4755. PMC 4611197. PMID 17729397.
  43. ^ Barton JC (1 December 1998). "Management of Hemochromatosis". Annals of Internal Medicine. 129 (11_Part_2): 932–39. doi:10.7326/0003-4819-129-11_Part_2-199812011-00003. PMID 9867745. S2CID 53087679.
  44. ^ NIH blood bank. "Hemochromatosis Donor Program".
  45. ^ Moretti D, Van Doorn GM, Swinkels DW, Melse-Boonstra A (2013). "Relevance of dietary iron intake and bioavailability in the management of HFE hemochromatosis: A systematic review". The American Journal of Clinical Nutrition. 98 (2): 468–79. doi:10.3945/ajcn.112.048264. PMID 23803887.
  46. ^ Bullen JJ (1 August 1991). "Hemochromatosis, Iron, and Septicemia Caused by Vibrio vulnificus". Archives of Internal Medicine. 151 (8): 1606–09. doi:10.1001/archinte.1991.00400080096018. PMID 1872665.
  47. ^ Miller MJ (1989-11-01). "Syntheses and therapeutic potential of hydroxamic acid based siderophores and analogs". Chemical Reviews. 89 (7): 1563–79. doi:10.1021/cr00097a011.
  48. ^ Choudhry VP, Naithani R (2007). "Current status of iron overload and chelation with deferasirox". Indian J Pediatr. 74 (8): 759–64. doi:10.1007/s12098-007-0134-7. PMID 17785900. S2CID 19930076.
  49. ^ Hoffbrand AV (20 March 2003). "Role of deferiprone in chelation therapy for transfusional iron overload". Blood. 102 (1): 17–24. doi:10.1182/blood-2002-06-1867. PMID 12637334.
  50. ^ Polomoscanik SC, Cannon CP, Neenan TX, Holmes-Farley SR, Mandeville WH, Dhal PK (2005). "Hydroxamic Acid-Containing Hydrogels for Nonabsorbed Iron Chelation Therapy: Synthesis, Characterization, and Biological Evaluation". Biomacromolecules. 6 (6): 2946–53. doi:10.1021/bm050036p. ISSN 1525-7797. PMID 16283713.
  51. ^ Qian J, Sullivan BP, Peterson SJ, Berkland C (2017). "Nonabsorbable Iron Binding Polymers Prevent Dietary Iron Absorption for the Treatment of Iron Overload". ACS Macro Letters. 6 (4): 350–53. doi:10.1021/acsmacrolett.6b00945. ISSN 2161-1653. PMID 35610854.
  52. ^ a b c Groborz O, Poláková L, Kolouchová K, Švec P, Loukotová L, Miriyala VM, Francová P, Kučka J, Krijt J, Páral P, Báječný M, Heizer T, Pohl R, Dunlop D, Czernek J, Šefc L, Beneš J, Štěpánek P, Hobza P, Hrubý M (2020). "Chelating Polymers for Hereditary Hemochromatosis Treatment". Macromolecular Bioscience. 20 (12): 2000254. doi:10.1002/mabi.202000254. ISSN 1616-5187. PMID 32954629. S2CID 221827050.
  53. ^ Allen KJ, Gurrin LC, Constantine CC, Osborne NJ, Delatycki MB, Nicoll AJ, McLaren CE, Bahlo M, Nisselle AE, Vulpe CD, Anderson GJ, Southey MC, Giles GG, English DR, Hopper JL, Olynyk JK, Powell LW, Gertig DM (17 January 2008). "Iron-overload-related disease in HFE hereditary hemochromatosis" (PDF). The New England Journal of Medicine. 358 (3): 221–30. doi:10.1056/NEJMoa073286. PMID 18199861.
  54. ^ Kowdley KV (November 2004). "Iron, hemochromatosis, and hepatocellular carcinoma". Gastroenterology. 127 (5 Suppl 1): S79–86. doi:10.1016/j.gastro.2004.09.019. PMID 15508107.
  55. ^ "The Evolution of Diet". National Geographic. Retrieved 2018-04-11.
  56. ^ Rosenzweig PH, Volpe SL (March 1999). "Iron, thermoregulation, and metabolic rate". Critical Reviews in Food Science and Nutrition. 39 (2): 131–148. doi:10.1080/10408399908500491. ISSN 1040-8398. PMID 10198751.
  57. ^ Heath KM, Axton JH, McCullough JM, Harris N (May 2016). "The evolutionary adaptation of the C282Y mutation to culture and climate during the European Neolithic". American Journal of Physical Anthropology. 160 (1): 86–101. Bibcode:2016AJPA..160...86H. doi:10.1002/ajpa.22937. ISSN 0002-9483. PMC 5066702. PMID 26799452.
  58. ^ "Clinical Penetrance of HFE Hereditary Hemochromatosis, Serum Ferritin Levels, and Screening Implications: Can We Iron This Out?". www.hematology.org. 2008-05-01. Archived from the original on 2018-06-15. Retrieved 2018-04-11.
  59. ^ Symonette CJ, Adams PC (June 2011). "Do all hemochromatosis patients have the same origin? A pilot study of mitochondrial DNA and Y-DNA". Canadian Journal of Gastroenterology. 25 (6): 324–326. doi:10.1155/2011/463810. ISSN 0835-7900. PMC 3142605. PMID 21766093.
  60. ^ "Videos: Hereditary Hemochromatosis | Canadian Hemochromatosis Society". www.toomuchiron.ca. Archived from the original on 2018-04-11. Retrieved 2018-04-11.
  61. ^ a b c Fitzsimons EJ, Cullis JO, Thomas DW, Tsochatzis E, Griffiths WJ, the British Society for Haematology (May 2018). "Diagnosis and therapy of genetic haemochromatosis (review and 2017 update)". British Journal of Haematology. 181 (3): 293–303. doi:10.1111/bjh.15164. PMID 29663319.
  62. ^ Cam Patterson, Marschall S. Runge (2006). Principles of molecular medicine. Totowa, NJ: Humana Press. p. 567. ISBN 978-1-58829-202-5.
  63. ^ Feder J, Gnirke A, Thomas W, Tsuchihashi Z, Ruddy D, Basava A, Dormishian F, Domingo R, Ellis M (August 1996). "A novel MHC class I–like gene is mutated in patients with hereditary haemochromatosis". Nature Genetics. 13 (4): 399–408. doi:10.1038/ng0896-399. PMID 8696333. S2CID 26239768.
  64. ^ Burke W, Thomson E, Khoury MJ, McDonnell SM, Press N, Adams PC, Barton JC, Beutler E, Brittenham G (1998-07-08). "Hereditary Hemochromatosis: Gene Discovery and Its Implications for Population-Based Screening". JAMA. 280 (2): 172–78. doi:10.1001/jama.280.2.172. ISSN 0098-7484. PMID 9669792.