Mucous membrane

Mucous membrane
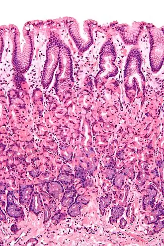
Histological section taken from the gastric antrum, showing the mucosa of the stomach
Details
Identifiers
Latintunica mucosa
MeSHD009092
TA98A05.4.01.015
A05.3.01.029
A05.5.01.029
A05.6.01.009
A05.6.01.010
A05.7.01.006
A05.7.01.007
A05.8.02.009
A06.1.02.017
A06.2.09.019
A06.3.01.010
A06.4.02.029
A08.1.05.011
A08.2.01.007
A08.3.01.023
A09.1.02.013
A09.1.04.011
A09.2.03.012
A09.3.05.010
A09.3.06.004
A09.4.02.015
A09.4.02.020
A09.4.02.029
A15.3.02.083
Anatomical terms of microanatomy

A mucous membrane or mucosa is a membrane that lines various cavities in the body of an organism and covers the surface of internal organs. It consists of one or more layers of epithelial cells overlying a layer of loose connective tissue. It is mostly of endodermal origin and is continuous with the skin at body openings such as the eyes, eyelids, ears, inside the nose, inside the mouth, lips, the genital areas, the urethral opening and the anus. Some mucous membranes secrete mucus, a thick protective fluid. The function of the membrane is to stop pathogens and dirt from entering the body and to prevent bodily tissues from becoming dehydrated.

Structure

The mucosa is composed of one or more layers of epithelial cells that secrete mucus, and an underlying lamina propria of areolar connective tissue.[1] The type of cells and type of mucus secreted vary from organ to organ and each can differ along a given tract.[2][3]

Mucous membranes line the digestive, respiratory and reproductive tracts and are the primary barrier between the external world and the interior of the body; in an adult human the total surface area of the mucosa is about 400 square meters while the surface area of the skin is about 2 square meters.[4]: 1  Along with providing a physical barrier, they also contain key parts of the immune system and serve as the interface between the body proper and the microbiome.[2]: 437 

Examples

Some examples include:

Development

Developmentally, the majority of mucous membranes are of endodermal origin.[5] Exceptions include the palate, cheeks, floor of the mouth, gums, lips and the portion of the anal canal below the pectinate line, which are all ectodermal in origin.[6][7]

Function

One of its functions is to keep the tissue moist (for example in the respiratory tract, including the mouth and nose).[2]: 480  It also plays a role in absorbing and transforming nutrients.[2]: 5, 813  Mucous membranes also protect the body from itself. For instance, mucosa in the stomach protects it from stomach acid,[2]: 384, 797  and mucosa lining the bladder protects the underlying tissue from urine.[8] In the uterus, the mucous membrane is called the endometrium, and it swells each month and is then eliminated during menstruation.[2]: 1019 

Nutrition

Niacin[2]: 876  and vitamin A are essential nutrients that help maintain mucous membranes.[9]

See also

References

  1. ^ "Mucous membrane". Encyclopædia Britannica. Retrieved 1 August 2015.
  2. ^ a b c d e f g Guyton, Arthur C.; Hall, John E. (2006). Textbook of Medical Physiology, 11th Edition. Philadelphia: Elsevier Saunders. ISBN 9780721602400. OCLC 56661571.
  3. ^ Stuart-Low, William (1905). Mucous Membranes Normal & Abnormal Including Mucin & Malignancy. Bailliére, Tindall & Cox. OCLC 643969757.
  4. ^ Sompayrac, Lauren (30 January 2012). How the Immune System Works, 4th Edition. Chichester, England: Wiley Publishing. ISBN 9780470657294. OCLC 1036250938.
  5. ^ "Chapter 25. Germ Layers and Their Derivatives - Review of Medical Embryology Book - LifeMap Discovery". discovery.lifemapsc.com. Archived from the original on 2017-01-09. Retrieved 2017-02-18.
  6. ^ Squier, Christopher; Brogden, Kim (2010-12-29). "Chapter 7, Development and aging of the oral mucosa". Human Oral Mucosa: Development, Structure and Function. John Wiley & Sons. p. 81. ISBN 9780470959732.
  7. ^ Schoenwolf, Gary C.; Bleyl, Steven B.; Brauer, Philip R.; Francis-West, Philippa H. (2014-12-01). Larsen's Human Embryology. Elsevier Health Sciences. p. 372. ISBN 9781455727919.
  8. ^ Fry, CH; Vahabi, B (October 2016). "The Role of the Mucosa in Normal and Abnormal Bladder Function". Basic & Clinical Pharmacology & Toxicology. 119 Suppl 3 (Suppl 3): 57–62. doi:10.1111/bcpt.12626. PMC 5555362. PMID 27228303.
  9. ^ "Vitamin A". MedlinePlus Medical Encyclopedia. February 2, 2015. Retrieved 16 February 2017.