Polymorphous low-grade adenocarcinoma

Polymorphous low-grade adenocarcinoma
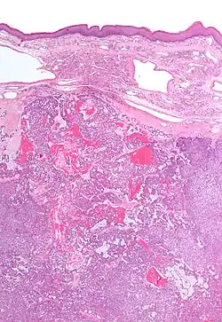
Low magnification micrograph of a polymorphous low-grade adenocarcinoma, showing the typical variation of architectural arrangement. H&E stain.
SpecialtyENT surgery

Polymorphous low-grade adenocarcinoma (PLGA) is a rare, asymptomatic, slow-growing malignant salivary gland tumor.[1] It is most commonly found in the palate.[2]

The name of the tumor derives from the fact that:

  • It has a varied microscopic architectural appearance, i.e. it is polymorphous.
  • It is non-aggressive when compared to other oral cavity tumors, i.e. it is a low-grade tumor.[1]
  • It forms glands, i.e. it is an adenocarcinoma.

It affects the minor salivary glands in the area between the hard and the soft palate. Male to female ratio is 3:1, and the average age is 56 years.

Histology

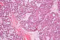
PLGAs consist of a monomorphous cell population that has a varied histologic morphology.

Microscopically, its histology can be confused with an adenoid cystic carcinoma and a pleomorphic adenoma.

Treatment

PLGAs are treated with wide local surgical excision and long-term follow-up.[2] There is a recurrence rate of 14% (Peterson, contemporary of oral and maxillofacial surgery).

References

  1. ^ a b Arathi N, Bage AM (2009). "Polymorphous low-grade adenocarcinoma of parotid gland: a rare occurrence". Indian Journal of Pathology & Microbiology. 52 (1): 103–105. doi:10.4103/0377-4929.44985. PMID 19136798.
  2. ^ a b Paleri V, Robinson M, Bradley P (April 2008). "Polymorphous low-grade adenocarcinoma of the head and neck". Current Opinion in Otolaryngology & Head and Neck Surgery. 16 (2): 163–169. doi:10.1097/MOO.0b013e3282f70441. PMID 18327037. S2CID 45814368.