Primary familial brain calcification

Primary familial brain calcification
Other namesFamilial idiopathic basal ganglia calcification
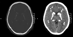
CT scan of characteristic calcifications of the disease
SpecialtyNeurology Edit this on Wikidata

Primary familial brain calcification[1] (PFBC), also known as familial idiopathic basal ganglia calcification (FIBGC) and Fahr's disease,[1] is a rare,[2] genetically dominant or recessive, inherited neurological disorder characterized by abnormal deposits of calcium in areas of the brain that control movement. Through the use of CT scans, calcifications are seen primarily in the basal ganglia and in other areas such as the cerebral cortex.[3]

Signs and symptoms

Symptoms of this disease include deterioration of motor functions and speech, seizures, and other involuntary movement. Other symptoms are headaches, dementia, and vision impairment. Characteristics of Parkinson's Disease are also similar to PFBC.[4]

The disease usually manifests itself in the third to fifth decade of life but may appear in childhood or later in life.[5] It usually presents with clumsiness, fatigability, unsteady gait, slow or slurred speech, difficulty swallowing, involuntary movements or muscle cramping. Seizures of various types are common. Neuropsychiatric symptoms, which may be the first or the most prominent manifestations, range from mild difficulty with concentration and memory to changes in personality and/or behavior, to psychosis and dementia.[6]

Causes

This condition can be inherited in an autosomal dominant or recessive fashion. Several genes have been associated with this condition.

Mutation

A locus at 14q has been suggested, but no gene has been identified.[7] A second locus has been identified on chromosome 8[8] and a third has been reported on chromosome 2.[9] This suggests there may be some genetic heterogeneity in this disease.[10]

A mutation in the gene encoding the type III sodium dependent phosphate transporter 2 (SLC20A2) located on chromosome 8 has been reported.[11] Biochemical evidence suggests that phosphate transport may be involved in this disease.

Two other genes have been associated with this condition: PDGFB on chromosome 22 and PDGFRB on chromosome 5.[12] These genes are biochemically linked: PDGFRB encodes the platelet-derived growth factor receptor β and PDGFB encodes the ligand of PDGF-Rβ. These genes are active during angiogenesis to recruit pericytes which suggests that alterations in the blood brain barrier may be involved in the pathogenesis of this condition.

A fourth gene associated with this condition is XPR1. This gene is the long arm of located on chromosome 1 (1q25.3).

Another gene that has been associated with this condition is MYORG.[13][14] This gene is located on the long arm of chromosome 9 (9p13.3). This gene is associated with an autosomal recessive inheritance pattern in this condition.

Another gene junctional adhesion molecule 2 (JAM2) has been associated with an autosomal recessive form of this condition.[15]

The most recently found gene to be associated with PFBC is Nα-acetyltransferase 60 (NAA60).[16] NAA60 is a protein belonging to the family of N-terminal acetyltransferases (NATs), which catalyze the transfer of an acetyl group from acetyl-coenzyme A (Ac-CoA) to the N-terminus of proteins.[17] NAA60 is specifically localized to the Golgi apparatus and can acetylate membrane proteins post-translationally that have cytosolic N-termini starting with methionine followed by hydrophobic- or amphipathic-type amino acids (ML-, MI-, MF-, MY-, and MK-).[18][19][20]

Pathology

The most commonly affected region of the brain is the lenticular nucleus and in particular the internal globus pallidus.[21] Calcifications in the caudate, dentate nuclei, putamen and thalami are also common. Occasionally calcifications begin or predominate in regions outside the basal ganglia.

Calcification seems to be progressive, since calcifications are generally more extensive in older individuals and an increase in calcification can sometimes be documented on follow up of affected subjects.

As well as the usual sites the cerebellar gyri, brain stem, centrum semiovale and subcortical white matter may also be affected. Diffuse atrophic changes with dilatation of the subarachnoid space and/or ventricular system may coexist with the calcifications. Histologically concentric calcium deposits within the walls of small and medium-sized arteries are present. Less frequently the veins may also be affected. Droplet calcifications can be observed along capillaries. These deposits may eventually lead to closure of the lumina of vessels.

The pallidal deposits stain positively for iron. Diffuse gliosis may surround the large deposits but significant loss of nerve cells is rare. On electron microscopy the mineral deposits appear as amorphous or crystalline material surrounded by a basal membrane. Calcium granules are seen within the cytoplasm of neuronal and glial cells. The calcifications seen in this condition are indistinguishable from those secondary to hypoparathyroidism or other causes.

Diagnosis

In addition to the usual routine haematologic and biochemical investigations, the serum calcium, phosphorus, magnesium, alkaline phosphatase, calcitonin and parathyroid hormone should also be measured. The cerebrospinal fluid (CSF) should be examined to exclude bacteria, viruses and parasites.[22] The Ellsworth Howard test (a 10–20 fold increase of urinary cyclic AMP excretion following stimulation with 200 micromoles of parathyroid hormone) may be worth doing also. Serology for toxoplasmosis is also indicated.

Brain CT scan is the preferred method of localizing and assessing the extent of cerebral calcifications.

Elevated levels of copper, iron, magnesium and zinc but not calcium have been reported in the CSF but the significance of this finding—if any—is not known.[23]

The diagnosis requires the following criteria be met:

  1. the presence of bilateral calcification of the basal ganglia
  2. the presence of progressive neurologic dysfunction
  3. the absence of an alternative metabolic, infectious, toxic or traumatic cause
  4. a family history consistent with autosomal dominant inheritance

The calcification is usually identified on CT scan but may be visible on plain films of the skull.

Differential diagnosis

Basal ganglia calcification may occur as a consequence of several other known genetic conditions and these have to be excluded before a diagnosis can be made.[24][25][26][27]

Management

There is currently no cure for PFBC nor a standard course of treatment. The available treatment is directed symptomatic control. If parkinsonian features develop, there is generally poor response to levodopa therapy. Case reports have suggested that haloperidol or lithium carbonate may help with psychotic symptoms.[28] One case report described an improvement with the use of a bisphosphonate.[29]

Prognosis

The prognosis for any individual with PFBC is variable and hard to predict. There is no reliable correlation between age, extent of calcium deposits in the brain, and neurological deficit. Since the appearance of calcification is age-dependent, a CT scan could be negative in a gene carrier who is younger than the age of 55.[30]

Progressive neurological deterioration generally results in disability and death.

History

The disease was first noted by German pathologist Karl Theodor Fahr in 1930.[31][32] A less common name for the condition is Chavany-Brunhes syndrome and Fritsche's syndrome, the former named after Jacques Brunhes, Jean Alfred Émile Chavany, while the later named after R. Fritsche.[33][34]

Fewer than 20 families had been reported in the literature up to 1997.[35]

See also

References

  1. ^ a b Eliana Marisa Ramos; Joao Oliveira; Maria J Sobrido; Giovanni Coppola (1993). "Primary Familial Brain Calcification". GeneReviews, at National Center for Biotechnology Information. University of Washington, Seattle. PMID 20301594. Initial Posting: April 18, 2004; Last Update: August 24, 2017.
  2. ^ "Genetic and Rare Diseases Information Center (GARD) – an NCATS Program | Providing information about rare or genetic diseases". Archived from the original on 2009-05-11. Retrieved 2009-06-13.
  3. ^ Benke T; Karner E; Seppi K; Delazer M; Marksteiner J; Donnemiller E (August 2004). "Subacute dementia and imaging correlates in a case of Fahr's disease". J. Neurol. Neurosurg. Psychiatry. 75 (8): 1163–5. doi:10.1136/jnnp.2003.019547. PMC 1739167. PMID 15258221.
  4. ^ "NINDS Fahr's Syndrome Information Page". National Institute of Neurological Disorders and Stroke. Archived from the original on 5 February 2007. Retrieved 13 January 2007.
  5. ^ Sobrido MJ, Hopfer S, Geschwind DH (2007) "Familial idiopathic basal ganglia calcification." In: Pagon RA, Bird TD, Dolan CR, Stephens K, editors. SourceGeneReviews [Internet]. Seattle (WA): University of Washington, Seattle; 1993–2004
  6. ^ Chiu HF; Lam LC; Shum PP; Li KW (January 1993). "Idiopathic calcification of the basal ganglia". Postgrad Med J. 69 (807): 68–70. doi:10.1136/pgmj.69.807.68. PMC 2399589. PMID 8446558.
  7. ^ Geschwind DH, Loginov M, Stern JM (September 1999). "Identification of a locus on chromosome 14q for idiopathic basal ganglia calcification (Fahr disease)". Am. J. Hum. Genet. 65 (3): 764–72. doi:10.1086/302558. PMC 1377984. PMID 10441584.
  8. ^ Dai X, Gao Y, Xu Z, et al. (October 2010). "Identification of a novel genetic locus on chromosome 8p21.1-q11.23 for idiopathic basal ganglia calcification". Am. J. Med. Genet. B Neuropsychiatr. Genet. 153B (7): 1305–10. doi:10.1002/ajmg.b.31102. PMID 20552677. S2CID 21165897.
  9. ^ Volpato CB, De Grandi A, Buffone E, et al. (November 2009). "2q37 as a susceptibility locus for idiopathic basal ganglia calcification (IBGC) in a large South Tyrolean family". J. Mol. Neurosci. 39 (3): 346–53. doi:10.1007/s12031-009-9287-3. PMID 19757205. S2CID 23235853.
  10. ^ Oliveira JR, Spiteri E, Sobrido MJ, et al. (December 2004). "Genetic heterogeneity in familial idiopathic basal ganglia calcification (Fahr disease)". Neurology. 63 (11): 2165–7. doi:10.1212/01.wnl.0000145601.88274.88. PMID 15596772. S2CID 22046680.
  11. ^ Wang C, Li Y, Shi L, et al. (March 2012). "Mutations in SLC20A2 link familial idiopathic basal ganglia calcification with phosphate homeostasis". Nat. Genet. 44 (3): 254–6. doi:10.1038/ng.1077. hdl:20.500.11940/4882. PMID 22327515. S2CID 2515200.
  12. ^ Westenberger A1, Klein C (2014) The genetics of primary familial brain calcifications. Curr Neurol Neurosci Rep 14(10):490 doi: 10.1007/s11910-014-0490-4
  13. ^ Arkadir D, Lossos A, Rahat D, Abu Snineh M, Schueler-Furman O, Nitschke S, Minassian BA, Sadaka Y, Lerer I, Tabach Y, Meiner V (2018) MYORG is associated with recessive primary familial brain calcification. Ann Clin Transl Neurol 6(1):106-113
  14. ^ Yao XP, Cheng X, Wang C, Zhao M, Guo XX, Su HZ, Lai LL, Zou XH, Chen XJ, Zhao Y, Dong EL, Lu YQ, Wu S, Li X, Fan G, Yu H, Xu J, Wang N, Xiong ZQ, Chen WJ (2018) Biallelic Mutations in MYORG cause autosomal recessive primary familial brain calcification. Neuron 98(6):1116-1123
  15. ^ Cen Z, Chen Y, Chen S, Wang H, Yang D, Zhang H, Wu H, Wang L, Tang S, Ye J, Shen J, Wang H, Fu F, Chen X, Xie F, Liu P, Xu X, Cao J, Cai P, Pan Q1,12, Li J, Yang W, Shan PF, Li Y, Liu JY, Zhang B, Luo W (2019) Biallelic loss-of-function mutations in JAM2 cause primary familial brain calcification. Brain
  16. ^ Chelban, Viorica; Aksnes, Henriette; Maroofian, Reza; LaMonica, Lauren C.; Seabra, Luis; Siggervåg, Anette; Devic, Perrine; Shamseldin, Hanan E.; Vandrovcova, Jana; Murphy, David; Richard, Anne-Claire; Quenez, Olivier; Bonnevalle, Antoine; Zanetti, M. Natalia; Kaiyrzhanov, Rauan (2024-03-13). "Biallelic NAA60 variants with impaired N-terminal acetylation capacity cause autosomal recessive primary familial brain calcifications". Nature Communications. 15 (1): 2269. Bibcode:2024NatCo..15.2269C. doi:10.1038/s41467-024-46354-0. ISSN 2041-1723. PMC 10937998. PMID 38480682.
  17. ^ Aksnes, Henriette; Ree, Rasmus; Arnesen, Thomas (2019). "Co-translational, Post-translational, and Non-catalytic Roles of N-Terminal Acetyltransferases". Molecular Cell. 73 (6): 1097–1114. doi:10.1016/j.molcel.2019.02.007. PMC 6962057. PMID 30878283.
  18. ^ Aksnes, Henriette; Van Damme, Petra; Goris, Marianne; Starheim, Kristian K.; Marie, Michaël; Støve, Svein Isungset; Hoel, Camilla; Kalvik, Thomas Vikestad; Hole, Kristine; Glomnes, Nina; Furnes, Clemens; Ljostveit, Sonja; Ziegler, Mathias; Niere, Marc; Gevaert, Kris (2015). "An Organellar Nα-Acetyltransferase, Naa60, Acetylates Cytosolic N Termini of Transmembrane Proteins and Maintain Golgi Integrity". Cell Reports. 10 (8): 1362–1374. doi:10.1016/j.celrep.2015.01.053. hdl:1956/10959. PMID 25732826.
  19. ^ Støve, Svein Isungset; Magin, Robert S.; Foyn, Håvard; Haug, Bengt Erik; Marmorstein, Ronen; Arnesen, Thomas (2016). "Crystal Structure of the Golgi-Associated Human Nα-Acetyltransferase 60 Reveals the Molecular Determinants for Substrate-Specific Acetylation". Structure. 24 (7): 1044–1056. doi:10.1016/j.str.2016.04.020. PMC 4938767. PMID 27320834.
  20. ^ Van Damme, Petra; Evjenth, Rune; Foyn, Håvard; Demeyer, Kimberly; De Bock, Pieter-Jan; Lillehaug, Johan R.; Vandekerckhove, Joël; Arnesen, Thomas; Gevaert, Kris (2011). "Proteome-derived Peptide Libraries Allow Detailed Analysis of the Substrate Specificities of Nα-acetyltransferases and Point to hNaa10p as the Post-translational Actin Nα-acetyltransferase". Molecular & Cellular Proteomics. 10 (5): M110.004580. doi:10.1074/mcp.M110.004580. PMC 3098586. PMID 21383206.
  21. ^ Bonazza S, La Morgia C, Martinelli P, Capellari S (August 2011). "Strio-pallido-dentate calcinosis: a diagnostic approach in adult patients". Neurol. Sci. 32 (4): 537–45. doi:10.1007/s10072-011-0514-7. PMID 21479613. S2CID 11316462.
  22. ^ Morita M, Tsuge I, Matsuoka H, et al. (May 1998). "Calcification in the basal ganglia with chronic active Epstein-Barr virus infection". Neurology. 50 (5): 1485–8. doi:10.1212/wnl.50.5.1485. PMID 9596016. S2CID 7376355.
  23. ^ Hozumi I, Kohmura A, Kimura A, et al. (2010). "High Levels of Copper, Zinc, Iron and Magnesium, but not Calcium, in the Cerebrospinal Fluid of Patients with Fahr's Disease". Case Rep Neurol. 2 (2): 46–51. doi:10.1159/000313920. PMC 2905580. PMID 20671856.
  24. ^ Niwa A, Naito Y, Kuzuhara S (2008). "Severe cerebral calcification in a case of LEOPARD syndrome". Intern. Med. 47 (21): 1925–9. doi:10.2169/internalmedicine.47.1365. PMID 18981639.
  25. ^ Preusser M, Kitzwoegerer M, Budka H, Brugger S (October 2007). "Bilateral striopallidodentate calcification (Fahr's syndrome) and multiple system atrophy in a patient with longstanding hypoparathyroidism". Neuropathology. 27 (5): 453–6. doi:10.1111/j.1440-1789.2007.00790.x. PMID 18018479. S2CID 34345069.
  26. ^ Saito Y, Shibuya M, Hayashi M, et al. (July 2005). "Cerebellopontine calcification: a new entity of idiopathic intracranial calcification?". Acta Neuropathol. 110 (1): 77–83. doi:10.1007/s00401-005-1011-y. PMID 15959794. S2CID 2726661. Archived from the original on 2013-02-12.
  27. ^ Tojyo K, Hattori T, Sekijima Y, Yoshida K, Ikeda S (June 2001). "[A case of idiopathic brain calcification associated with dyschromatosis symmetrica hereditaria, aplasia of dental root, and aortic valve sclerosis]". Rinsho Shinkeigaku (in Japanese). 41 (6): 299–305. PMID 11771159.
  28. ^ Munir KM (February 1986). "The treatment of psychotic symptoms in Fahr's disease with lithium carbonate". J Clin Psychopharmacol. 6 (1): 36–8. doi:10.1097/00004714-198602000-00008. PMID 3081601.
  29. ^ Loeb JA (March 1998). "Functional improvement in a patient with cerebral calcinosis using a bisphosphonate". Mov. Disord. 13 (2): 345–9. doi:10.1002/mds.870130225. PMID 9539353. S2CID 29240690.
  30. ^ "NINDS Fahr's Syndrome Information Page". National Institute of Neurological Disorders and Stroke. Archived from the original on 5 February 2007. Retrieved 13 February 2007.
  31. ^ Fahr, T. (1930–1931). "Idiopathische Verkalkung der Hirngefässe". Zentralblatt für Allgemeine Pathologie und Pathologische Anatomie. 50: 129–133.
  32. ^ Fahr's disease at Whonamedit?
  33. ^ Chavany-Brunhes syndrome at Whonamedit?
  34. ^ "Chavany-Brunhes syndrome". Archived from the original on 2012-05-31. Retrieved 2009-06-13.
  35. ^ Kobari M; Nogawa S; Sugimoto Y; Fukuuchi Y (March 1997). "Familial idiopathic brain calcification with autosomal dominant inheritance". Neurology. 48 (3): 645–9. doi:10.1212/wnl.48.3.645. PMID 9065541. S2CID 1061208.