Prymnesium
| Prymnesium | |
|---|---|
| |
| Illustration | |
| Scientific classification | |
| Domain: | Eukaryota |
| Phylum: | Haptista |
| Subphylum: | Haptophytina |
| Class: | Prymnesiophyceae |
| Order: | Prymnesiales |
| Family: | Prymnesiaceae |
| Genus: | Massart, 1920 emend. Edvardsen, Eikrem & Probert, 2011[1] |
Prymnesium is a genus of haptophytes, including the species Prymnesium parvum.[2] The genus is a unicellular motile alga. It is ellipsoidal in shape one flagellum is straight and there are two longer ones which enable movement.[3]
The name Latinizes the Greek prymnēsion ‘cable (for mooring)’,[4][5] from prymna ‘stern’, from prymnos ‘hindmost’.[6]
Prymnesium was likely first recognized and drawn (although not named as such) on July 1, 1920,[7] and then (seemingly independently) officially named shortly afterwards on July 6, 1920.[8]
Morphology

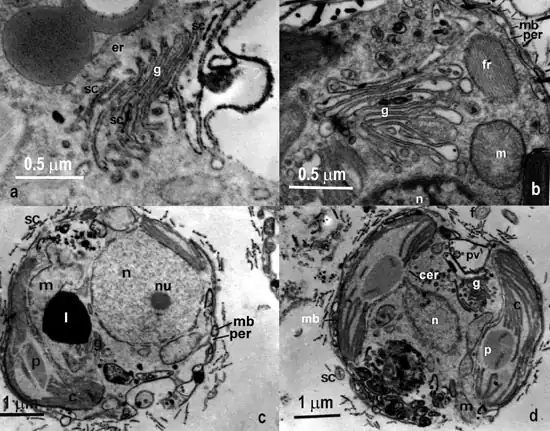
a) Transversal section showing the f1,f2: flagella, h: haptonema, c: chloroplast, sc: surface of the cell covered with scales.
b) Longitudinal section showing: c: (complex) chloroplasts, cer: chloroplasts endoplasmic reticulum, vf: vestibular fossa/cavity, per: periplastidial endoplasmatic reticulum, n: nucleus, nu: nucleolus, ner: nuclear endoplasmic reticulum, m: mitochondria, p: pyrenoids, g: Golgi body, mb: muciferous body (extrusome, pv: pulsatile/contractile vacuole, sc: scales.
c) r: radial and c: concentrical scales.[9]

a) sc: scale forming in the g: Golgi body, er: endoplasmic reticulum.< />b) g: Golgi body just below the fr: flagellar root, m: mitochondrion, n: nucleous, mb: muciferous body, cytoplasm surrounded by a narrow peripheral cisterna of per: endoplasmic reticulum.
c) Transversal section showing peripheral cisterna of per: endoplasmic reticulum, n: nucleus, nu: nucleolus, m: mitochondrion, l: lipidic globules, mb: muciferous body, and sc: scales.
d) Transversal section showing cer: chloroplast endoplasmic reticulum is continuous with the nucleus endoplasmic reticulum. c: chloroplast, g: Golgi body, f: flagella, p: pyrenoids, n: nucleus, pv: pulsatil vacuole, mb: muciferous body, and sc: scales.[9]
Species
The taxonomy of Prymnesiales was revised in 2011. With this revision, ten additional species were added to the genus, namely P. neolepis (previously assigned to Hyalolithus), P. palpebrale, P. polylepis, P. kappa, P. chiton, P. minus (previously assigned to Chrysochromulina), P. neustophilum, P. pienaarii, P. pigrum, and P. simplex (previously assigned to Platychrysis).[1]
- Prymnesium neolepis (M. Yoshida, M.-H. Noël, T. Nakayama, T. Naganuma & I. Inouye, 2006) Edvardsen, Eikrem & Probert, 2011 (=Hyalolithus neolepis)
- Prymnesium palpebrale (Seoane, Eikrem, Edvardsen & Pienaar, 2009) Edvardsen, Eikrem & Probert, 2011 (=Chrysochromulina palpebralis)
- Prymnesium polylepis (Manton & Parke, 1962) Edvardsen, Eikrem & Probert, 2011 (=Chrysochromulina polylepis)
- Prymnesium kappa (Parke & Manton, 1955) Edvardsen, Eikrem & Probert, 2011 (=Chrysochromulina kappa)
- Prymnesium chiton (Parke & Manton, 1958) Edvardsen, Eikrem & Probert, 2011 (=Chrysochromulina chiton)
- Prymnesium minus (Parke & Manton, 1955) Edvardsen, Eikrem & Probert, 2011 (=Chrysochromulina minor)
- Prymnesium neustophilum (R.E. Norris, 1967) Edvardsen, Eikrem & Probert, 2011 (=Platychrysis neustophila)
- Prymnesium pienaarii (Gayral & Fresnel, 1983) Edvardsen, Eikrem & Probert, 2011 (=Platychrysis pienaarii)
- Prymnesium pigrum (Geitler, 1930) Edvardsen, Eikrem & Probert, 2011 (=Platychrysis pigra)
- Prymnesium simplex (Gayral & Fresnel, 1983) Edvardsen, Eikrem & Probert, 2011 (=Platychrysis simplex)
References
- ^ a b Edvardsen, Bente; Eikrem, Wenche; Throndsen, Jahn; Sáez, Alberto G.; Probert, Ian; Medlin, Linda K. (2011). "Ribosomal DNA phylogenies and a morphological revision provide the basis for a revised taxonomy of the Prymnesiales (Haptophyta)". European Journal of Phycology. 46 (3): 202–228. Bibcode:2011EJPhy..46..202E. doi:10.1080/09670262.2011.594095. S2CID 73587538.
- ^ La Claire, JW (2006). "Analysis of expressed sequence tags from the harmful alga, Prymnesium parvum (Prymnesiophyceae, Haptophyta)". Mar. Biotechnol. 8 (5): 534–46. Bibcode:2006MarBt...8..534L. doi:10.1007/s10126-005-5182-2. PMID 16896534. S2CID 27204487.
- ^ Fritsch, F.E. 1965. The Structure and Reproduction of the Algae. Volume 1.Cambridge University Press.
- ^ Cooper, Thomas (1565). Thesaurus Linguae Romanae et Britannicae.
prymnesium: The post wherevnto the cable of a ship is tyed. The cable it selfe. [The post unto which the cable of a ship is tied; the cable itself.]
- ^ Graham, Linda E.; Wilcox, Lee Warren (2000). Algae. Prentice Hall. p. 193. ISBN 978-0-13-660333-7.
Prymnesium (Gr. prymnesion, stern-cable) is a single-celled flagellate.
- ^ Roberts, Edward A. (2014). A Comprehensive Etymological Dictionary of the Spanish Language. Vol. II. Xlibris Corp. p. 409. ISBN 978-1-4931-9111-6.
proís < Cat. prois < VL. *prodesium < L. prymnēsium [...]
- ^ Liebert, F.; Deerns, W.M. (1920-07-01). "Nederland Nationaal Archief - Inventaris van het archief van de Hoofinspecteur der Visserijen, (1907) 1910-1922 (1924) - Item 195: Verslag van een onderzoek naar de oorzaken van de vissterfte in de polder Workumer-Nieuwland nabij Workum, door N.W. Deerns van het Rijksinstituut voor Hydrografisch Visserijonderzoek, houdende een beschrijving van visdodende flagellaten (planktonorganismen). 1920". Nederland Nationaal Archief (in Dutch). Retrieved 28 August 2023.
- ^ Massart, J. "Recherches sur les organismes inférieurs. VIII. - Sur la motilité des Flagellates" (PDF). Bulletin de la Classe des sciences de l'Académie Royale de Belgique (in French). 5 (6): 116–141. Retrieved 2023-07-31.
- ^ a b Beltrami, Orietta; Escobar, Marcela; Collantes, Gloria (May 2007). "New record of Prymnesium parvum f. patelliferum (Green, Hibberd & Piennar) Larsen stat. nov. (Prymnesiophyceae) from Valparaíso Bay". Investigaciones Marinas. 35 (1). doi:10.4067/S0717-71782007000100009.
