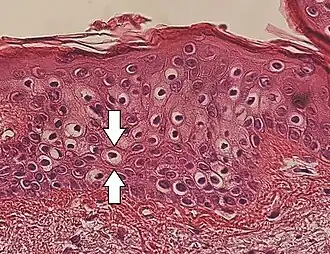
Vacuolization


Vacuolization is the formation of vacuoles or vacuole-like structures, within or adjacent to cells. Perinuclear vacuolization of epidermal keratinocytes is most likely inconsequential when not observed in combination with other pathologic findings. In dermatopathology "vacuolization" often refers specifically to vacuoles in the basal cell-basement membrane zone area, where it is an unspecific sign of disease.[1] It may be a sign of for example vacuolar interface dermatitis, which in turn has many causes.
It is one of the components of koilocytosis, which may be present in potentially pre-cancerous cervical, oral and anal lesions.[2]
See also
References
- ^ Kumar, Vinay; Fausto, Nelso; Abbas, Abul (2004) Robbins & Cotran Pathologic Basis of Disease (7th ed.). Saunders. Page 1230. ISBN 0-7216-0187-1.
- ^ Krawczyk E, Suprynowicz FA, Liu X, et al. (September 2008). "Koilocytosis: a cooperative interaction between the human papillomavirus E5 and E6 oncoproteins". Am. J. Pathol. 173 (3): 682–8. doi:10.2353/ajpath.2008.080280. PMC 2527066. PMID 18688031.