Warty dyskeratoma
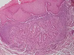
Warty dyskeratoma, also known as an Isolated dyskeratosis follicularis,[1]: 777 is a benign[2] epidermal proliferation with distinctive histologic findings that may mimic invasive squamous cell carcinoma[3] and commonly manifests as an umbilicated (Having a central mark or depression resembling a navel) lesion with a keratotic plug,[4] WD have some histopathologic similarities to viral warts but it's not caused by HPV and the majority of these lesions display overall histopathologic features consistent with a follicular adnexal neoplasm.[5] Usually limited to the head, neck,[6] scalp[7] or face and vulva.[6] Lesions are generally solitary and sporadic and may be associated with a follicular unit. Oral involvement,[4] particularly the hard palate, and genital involvement have been reported. it can also be thought of as one of the manifestations of focal acantholytic dyskeratosis, an epidermal reaction pattern that can be seen in several disorders, including Darier's disease and Grover's disease.[8]: 639 But the main Difference between Darier disease and Warty dyskeratoma, is that Darier disease inherited dermatosis (autosomal dominant) consisting of multiple keratotic papules on the face, trunk, and extremities, while WD occurs as an isolated, noninherited, single keratotic nodule mainly confined to the head and neck as mentioned earlier.[6]
Differential Diagnosis
Warty dyskeratoma must be differentiated from vulvar dysplasia, Bowenoid papulosis, squamous carcinoma, condyloma, and other viral-induced squamous lesions.[6]
See also
References
- ^ Freedberg, et al. (2003). Fitzpatrick's Dermatology in General Medicine. (6th ed.). McGraw-Hill. ISBN 0-07-138076-0.
- ^ Diallo M, Cribier B, Scrivener Y (2007). "[Warty dyskeratoma: infundibular histogenesis. Anatomoclinical study of 43 cases]". Ann Dermatol Venereol (in French). 134 (8–9): 633–6. doi:10.1016/S0151-9638(07)91823-2. PMID 17925685.
- ^ Chau MN, Radden BG (October 1984). "Oral warty dyskeratoma". Journal of Oral Pathology and Medicine. 13 (5): 546–56. doi:10.1111/j.1600-0714.1984.tb01455.x. PMID 6434720.
- ^ a b Kaugars GE, Lieb RJ, Abbey LM (March 1984). "Focal oral warty dyskeratoma". Int. J. Dermatol. 23 (2): 123–30. doi:10.1111/j.1365-4362.1984.tb05686.x. PMID 6698687. S2CID 20726151.
- ^ Kaddu S, Dong H, Mayer G, Kerl H, Cerroni L (September 2002). "Warty dyskeratoma--"follicular dyskeratoma": analysis of clinicopathologic features of a distinctive follicular adnexal neoplasm". J. Am. Acad. Dermatol. 47 (3): 423–8. doi:10.1067/mjd.2002.122756. PMID 12196754.
- ^ a b c d Duray PH, Merino MJ, Axiotis C (1983). "Warty dyskeratoma of the vulva". Int. J. Gynecol. Pathol. 2 (3): 286–93. doi:10.1097/00004347-198303000-00006. PMID 6642851.
- ^ Griffiths TW, Hashimoto K, Sharata HH, Ellis CN (July 1997). "Multiple warty dyskeratomas of the scalp" (PDF). Clin. Exp. Dermatol. 22 (4): 189–91. doi:10.1111/j.1365-2230.1997.tb01059.x. hdl:2027.42/75672. PMID 9499610. S2CID 9939933.
- ^ James, William D.; Berger, Timothy G.; et al. (2006). Andrews' Diseases of the Skin: clinical Dermatology. Saunders Elsevier. ISBN 0-7216-2921-0.