ZG16

Zymogen Granule Protein 16 is a protein that is encoded by the ZG16 gene. Other common names include hZG16, FLJ43571, FLJ92276, secretory lectin ZG16, jacalin-like lectin domain containing, JCLN, JCLN1, MGC183567, MGC34820, ZG16A, zymogen granule membrane protein 16, zymogen granule protein 16 homolog, and zymogen granule protein. The gene is located on Chromosome 16: 29,778,256-29,782,973.[1] The gene obtains one transcript (one splice variant)[2] and 128 orthologues.[3]

ZG16
Available structures
PDBOrtholog search: PDBe RCSB
Identifiers
AliasesZG16, JCLN, JCLN1, ZG16A, zymogen granule protein 16
External IDsOMIM: 617311; MGI: 1916286; HomoloGene: 12296; GeneCards: ZG16; OMA:ZG16 - orthologs
Orthologs
SpeciesHumanMouse
Entrez

653808

69036

Ensembl

ENSG00000174992

ENSMUSG00000049350

UniProt

O60844

Q8K0C5

RefSeq (mRNA)

NM_152338

NM_026918

RefSeq (protein)

NP_689551

NP_081194

Location (UCSC)Chr 16: 29.78 – 29.78 MbChr 7: 126.65 – 126.69 Mb
PubMed search[6][7]
Wikidata
View/Edit HumanView/Edit Mouse

Function

ZG16 enables protein transport, protein trafficking, carbohydrate binding, and peptidoglycan binding.[8] Zymogen Granule Protein 16 also acts as a linker molecule between the secretory proteins in the trans-Golgi network (TGN) and the zymogen granule membrane (ZGM). The protein is located in the Golgi lumen and collagen-containing extracellular matrix. ZG16 is a protein that is highly selective for cytoplasmic expression in mucin-producing goblet cells,[9] which are cells that are located in the gastrointestinal tract. These cells produce mucus to protect mucous membranes that line the surface of our internal organs.[10] The protein is mainly expressed in the human colon, endometrium, and spleen. Small amounts of ZG16 gene expression are also found in the liver and bone marrow.[11]

Structure

The gene length is about 167 amino acids long. The protein existence level is PE1, indicating that the protein is a marker for exocrine pancreatic function. The ligand that ZG16 is able to bind is Lectin. The basal isoelectric point of the protein is 9.43.[8]

The protein mass (Da) is different for the Human ZG16 protein, Mouse ZG16 protein, and the Rat ZG16 Protein.

Table 1. Appropriate Mass in Da for Each Type of ZG16 Protein[12]
Species Human ZG16 Gene Mouse ZG16 Gene Rat ZG16 Gene
Mass (Da) 18147 18210 18213

Interaction with gram-positive bacteria

Cells in our colon obtain bacteria that reside in a mutualistic relationship with our host cells to prevent harmful bacteria from causing inflammation.[13] Our colon obtains two mucus layers: the impenetrable mucus (IM) and penetrable mucus (PM).[13] The IM is classified as a MUC2 mucin polymeric network since it works to build intestinal mucus.[14] The IM is less penetrable than the PM. The ZG16 protein works with the MUC2 network to keep Gram-positive bacteria away from the epithelial cells in the colon. The absence of ZG16 will allow Gram-positive bacteria to enter the epithelial cells and contribute to the production of cancerous cells in the colon. ZG16 and Gram-positive bacteria reside in symbiosis to prevent penetration of harmful Gram-positive bacteria, allowing for bacterial limitation in epithelial cells of the colon.[13]

Associated diseases

ZG16 is associated with these following diseases: Cancer, Colitis, Colonic disease, Episodic Kinesigenic Dyskinesia 1, Crohn's Disease, EEC Syndrome, Spondylocostal Dysostosis, Autoimmune Disease, Benign Familial Infantile Epilepsy, Schizophrenia 3, and Cystic Fibrosis.[15]

EEC syndrome

Representation of a common symptom of EEC syndrome, which is Cleft lip/palate syndrome.

Ectrodactyly–ectodermal dysplasia–cleft syndrome (EEC syndrome) is considered to be an autosomal dominant disease. The amount of individuals with this disease is 1 in 90,000 general population. The rare disease can cause abnormalities of the eyes, urinary tract, and hair glands. The physical features of individuals with this disease include missing or irregular fingers and toes, cleft lip, lobster claw hand/foot, carious teeth, thick eyebrows, and distinguishable facial structures. All of these symptoms can be seen individually or all together.[16] There are two types of EEC syndrome: EEC type 3 (EEC3) and EEC type 1 (EEC1). Mutations present on protein coding regions of the ZG16 gene lead to EEC syndrome.[17] Treatment includes assistance from a pedodontics, pediatrician, oral and plastic surgeon, ophthalmologist, and renal specialist.[18]

Spondylocostal dysostosis 5

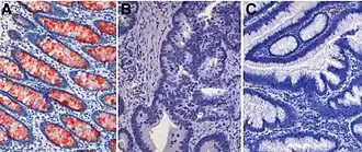
ZG16 expression in (a) Normal Colon Tissue, (b) Adenocarcinoma, and (c) Mucinous Carcinoma. There is high ZG16 gene expression in normal colon tissue and repressed/nonexistent ZG16 gene expression in adenocarcinoma and mucinous carcinoma. Image provided by BMC Cancer.[19]

Spondylocostal dysostosis, which is a sub-class of Jarcho-Levin Syndrome,[20] is caused by abnormal development of spinal bones which leads to segmentation defects on the spinal vertebrae and ribs. The disease is autosomal recessive and can be characterized by these physical features: short trunk in proportion to height, short neck, and non-progressive mild scoliosis. Some individuals may experience respiratory distress as well. Spondylocostal dysostosis 5 is caused by mutations present in the ZG16 gene.[21] These mutations are specifically caused by 16p11.2 proximal deletion syndrome, which occurs when there is a deletion of the p11.2 region of chromosome 16.[22] Treatment for Spondylocostal Dysostosis 5 includes spinal surgery, external bracing with the use of a prosthetic titanium rib, growing rods, and respiratory support.[23]

Colorectal Cancer

Opened colectomy specimen representing the presence of colorectal cancer.

ZG16 can serve as a biomarker for diagnosis of colorectal cancer (CRC). CRC is a type of cancer where cells in the colon or rectum grow uncontrollably, causing issues to passageways in the anus.[24] CRC is considered to be the third most common cancer diagnosed around the world.[25] ZG16 is one of the most significantly down-regulated genes in CRC tissues.[19] PD-L1 is a type of transmembrane protein that is expressed on tumor-infiltrating cells, such as B or T-cells.[26] Its main function in CRC is to suppress antigen specific T-cells in the lymph nodes. Since PD-L1 proteins are regulated by N-glycosylation, the ZG16 works to bind directly to glycosylated PD-L1 proteins through its lectin domain. This allows the ZG16 protein to promote T-cell activity to fight cancerous colon cells.[27]

To learn more about the association between CRC and ZG16, a RT-PCR was performed on tumor and normal tissue samples of 23 CRC patients. Results showed a suppressed response of the ZG16 gene in the tissue samples of the colon, rectum, and small intestine. The gene was lost in all CRC tissue samples and was suppressed from normal to adenoma to carcinoma, indicating that the gene plays an important role in initiation of CRC.[19]

Protein interactions

References

  1. ^ "Chromosome 16: 29,778,256-29,782,973 - Region in detail - Homo_sapiens - Ensembl genome browser 110". Ensembl. Retrieved 2023-11-28.
  2. ^ "Gene: ZG16 (ENSG00000174992) - Splice variants - Homo_sapiens - Ensembl genome browser 110". Ensembl. Retrieved 2023-11-28.
  3. ^ "Gene: ZG16 (ENSG00000174992) - Orthologues - Homo_sapiens - Ensembl genome browser 110". Ensembl. Retrieved 2023-11-28.
  4. ^ a b c GRCh38: Ensembl release 89: ENSG00000174992Ensembl, May 2017
  5. ^ a b c GRCm38: Ensembl release 89: ENSMUSG00000049350Ensembl, May 2017
  6. ^ "Human PubMed Reference:". National Center for Biotechnology Information, U.S. National Library of Medicine.
  7. ^ "Mouse PubMed Reference:". National Center for Biotechnology Information, U.S. National Library of Medicine.
  8. ^ a b "Zymogen granule membrane protein 16". PhosphoSitePlus. Retrieved 2023-11-07.
  9. ^ "ZG16 protein expression summary - The Human Protein Atlas". The Human Protein Atlas. Retrieved 2023-11-10.
  10. ^ "Goblet cell", Wikipedia, 2023-10-18, retrieved 2023-11-10
  11. ^ "ZG16 zymogen granule protein 16 [Homo sapiens (human)] - Gene - NCBI". National Library of Medicine. Retrieved 2023-11-02.
  12. ^ "ZG16 Protein Overview: Sequence, Structure, Function and Protein Interaction". Sino Biological. Retrieved 2023-11-27.
  13. ^ a b c Bergström JH, Birchenough GM, Katona G, Schroeder BO, Schütte A, Ermund A, et al. (November 2016). "Gram-positive bacteria are held at a distance in the colon mucus by the lectin-like protein ZG16". Proceedings of the National Academy of Sciences of the United States of America. 113 (48): 13833–13838. Bibcode:2016PNAS..11313833B. doi:10.1073/pnas.1611400113. PMC 5137749. PMID 27849619.
  14. ^ Gallego P, Garcia-Bonete MJ, Trillo-Muyo S, Recktenwald CV, Johansson ME, Hansson GC (April 2023). "The intestinal MUC2 mucin C-terminus is stabilized by an extra disulfide bond in comparison to von Willebrand factor and other gel-forming mucins". Nature Communications. 14 (1): 1969. Bibcode:2023NatCo..14.1969G. doi:10.1038/s41467-023-37666-8. PMC 10082768. PMID 37031240. S2CID 258009721.
  15. ^ "ZG16 Disease Associations". Diseases- Jensen Lab. Retrieved 2023-11-28.
  16. ^ Sharma D, Kumar C, Bhalerao S, Pandita A, Shastri S, Sharma P (June 16, 2015). "Ectrodactyly, Ectodermal Dysplasia, Cleft Lip, and Palate (EEC Syndrome) with Tetralogy of Fallot: A Very Rare Combination". Frontiers in Pediatrics. 3: 51. doi:10.3389/fped.2015.00051. PMC 4468833. PMID 26137453.
  17. ^ "Ectrodactyly, Ectodermal Dysplasia, and Cleft Lip/palate Syndrome 1 (EEC1)". MalaCards-Human Disease Database. Retrieved 2023-11-27.
  18. ^ Shivaprakash PK, Joshi HV, Noorani H, Reddy V (April 2012). "Ectrodactyly, ectodermal dysplasia, and cleft lip/palate syndrome: A case report of "Incomplete syndrome"". Contemporary Clinical Dentistry. 3 (Suppl 1): S115 – S117. doi:10.4103/0976-237X.95120. PMC 3354781. PMID 22629050.
  19. ^ a b c Meng H, Li W, Boardman LA, Wang L (April 2018). "Loss of ZG16 is associated with molecular and clinicopathological phenotypes of colorectal cancer". BMC Cancer. 18 (1): 433. doi:10.1186/s12885-018-4337-2. PMC 5902988. PMID 29661177.
  20. ^ Umair M, Younus M, Shafiq S, Nayab A, Alfadhel M (2022-11-25). "Clinical genetics of spondylocostal dysostosis: A mini review". Frontiers in Genetics. 13: 996364. doi:10.3389/fgene.2022.996364. PMC 9732429. PMID 36506336.
  21. ^ "Spondylocostal Dysostosis 5 (SCDO5)". MalaCards-Human Disease Database. Retrieved 2023-11-27.
  22. ^ "Proximal 16p11.2 microdeletion syndrome - About the Disease - Genetic and Rare Diseases Information Center". rarediseases.info.nih.gov. Retrieved 2023-11-28.
  23. ^ Turnpenny PG, Sloman M, Dunwoodie S (2023-08-17). "Spondylocostal Dysostosis, Autosomal Recessive". GeneReviews® [Internet]. University of Washington, Seattle. PMID 20301771. Retrieved 2023-11-02.
  24. ^ "What Is Colorectal Cancer?". U.S. Centers for Disease Control and Prevention (CDC). 2023-02-23. Retrieved 2023-11-08.
  25. ^ Wang W, Sun JF, Wang XZ, Ying HQ, You XH, Sun F (2020). "A Novel Prognostic Score Based on ZG16 for Predicting CRC Survival". Pharmacogenomics and Personalized Medicine. 13: 735–747. doi:10.2147/PGPM.S275941. PMC 7751443. PMID 33364813.
  26. ^ Ntomi V, Foukas P, Papaconstantinou D, Antonopoulou I, Pikoulis A, Panagiotides I, et al. (June 2021). "The clinical significance of PD‑L1 in colorectal cancer (Review)". Oncology Reports. 45 (6): 1–9. doi:10.3892/or.2021.8043. PMID 33846789. S2CID 233223591.
  27. ^ Meng H, Yao W, Yin Y, Li Y, Ding Y, Wang L, Zhang M (July 2022). "ZG16 promotes T-cell mediated immunity through direct binding to PD-L1 in colon cancer". Biomarker Research. 10 (1): 47. doi:10.1186/s40364-022-00396-y. PMC 9281127. PMID 35831911.
  28. ^ "SGTA small glutamine rich tetratricopeptide repeat co-chaperone alpha [Homo sapiens (human)]". - Gene - NCBI. U.S. National Library of Medicine. Retrieved 2022-05-16.
  29. ^ a b "UBQLN1 ubiquilin 1 [Homo sapiens (human)]". - Gene - NCBI. U.S. National Library of Medicine. Retrieved 2022-05-16.
  30. ^ "UBQLN4 ubiquilin 4 [Homo sapiens (human)]". - Gene - NCBI. U.S. National Library of Medicine. Retrieved 2022-05-16.
  31. ^ "ASPH aspartate beta-hydroxylase [Homo sapiens (human)]". - Gene - NCBI. U.S. National Library of Medicine. Retrieved 2022-05-16.
  32. ^ "CTNNA3 catenin alpha 3 [Homo sapiens (human)]". - Gene - NCBI. U.S. National Library of Medicine. Retrieved 2022-05-16.
  33. ^ "GLYCTK glycerate kinase [Homo sapiens (human)]". - Gene - NCBI. U.S. National Library of Medicine. Retrieved 2022-05-16.
  34. ^ "KCNIP3 potassium voltage-gated channel interacting protein 3 [Homo sapiens (human)]". - Gene - NCBI. U.S. National Library of Medicine. Retrieved 2022-05-16.
  35. ^ "PUF60 poly(U) binding splicing factor 60 [Homo sapiens (human)]". - Gene - NCBI. U.S. National Library of Medicine. Retrieved 2022-05-16.
  36. ^ "SGTB small glutamine rich tetratricopeptide repeat co-chaperone beta [Homo sapiens (human)]". - Gene - NCBI. U.S. National Library of Medicine. Retrieved 2022-05-16.
  37. ^ "UBE2I ubiquitin conjugating enzyme E2 I [Homo sapiens (human)]". - Gene - NCBI. U.S. National Library of Medicine. Retrieved 2022-05-16.
  38. ^ "UBQLN2 ubiquilin 2 [Homo sapiens (human)]". - Gene - NCBI. U.S. National Library of Medicine. Retrieved 2022-05-16.

Further reading